Skip to product information
1 of 5

CD47 Recombinant Rabbit mAb (SDT-R121)

CD47 Recombinant Rabbit mAb (SDT-R121)

Catalog Number: S0B2160 Application: WB,IHC-P Reactivity: Human Conjugation: Unconjugated Brand: Starter
Price:
Regular price $131.00 SGD
Regular price Sale price $131.00 SGD
Size:
For shipping services or bulk orders, you may request a quotation.
Secure checkout with
View full details

Product Details

Product Specification


Host Rabbit
Antigen CD47
Synonyms Leukocyte surface antigen CD47, IAP, MER6
Immunogen N/A
Location Cell membrane
Accession Q08722
Clone Number SDT-R121
Antibody Type Rabbit mAb
Application WB, IHC-P
Reactivity Hu
Purification Protein A
Concentration 0.5 mg/ml
Physical Appearance Liquid
Storage Buffer PBS, 40% Glycerol, 0.05% BSA, 0.03% Proclin 300
Stability & Storage 12 months from date of receipt / reconstitution, -20 °C as supplied

Dilution


application dilution species
WB 1:1000 null
IHC-P 1:200 null

Background

The transmembrane protein, CD47, is recognized as an important innate immune checkpoint, and CD47-targeted drugs have been in development with the aim of inhibiting the interaction between CD47 and the regulatory glycoprotein SIRPα, for antitumor immunotherapy. Further, CD47 mediates other essential functions such as cell proliferation, caspase-independent cell death (CICD), angiogenesis and other integrin-activation-dependent cell phenotypic responses when bound to thrombospondin-1 (TSP-1) or other ligands. Mounting strategies that target CD47 have been developed in pre-clinical and clinical trials, including antibodies, small molecules, siRNAs, and peptides, and some of them have shown great promise in cancer treatment [PMID: 35931392].

Picture

Western Blot

WB result of CD47 Rabbit mAb Primary antibody: CD47 Rabbit mAb at 1/1000 dilution Lane 1: HepG2 whole cell lysate 20 µg Lane 2: NIH:OVCAR-3 whole cell lysate 20 µg Negative control: HepG2 whole cell lysate Secondary antibody: Goat Anti-Rabbit IgG, (H+L), HRP conjugated at 1/10000 dilution Predicted MW: 35 kDa Observed MW: 40~50 kDa

Immunohistochemistry

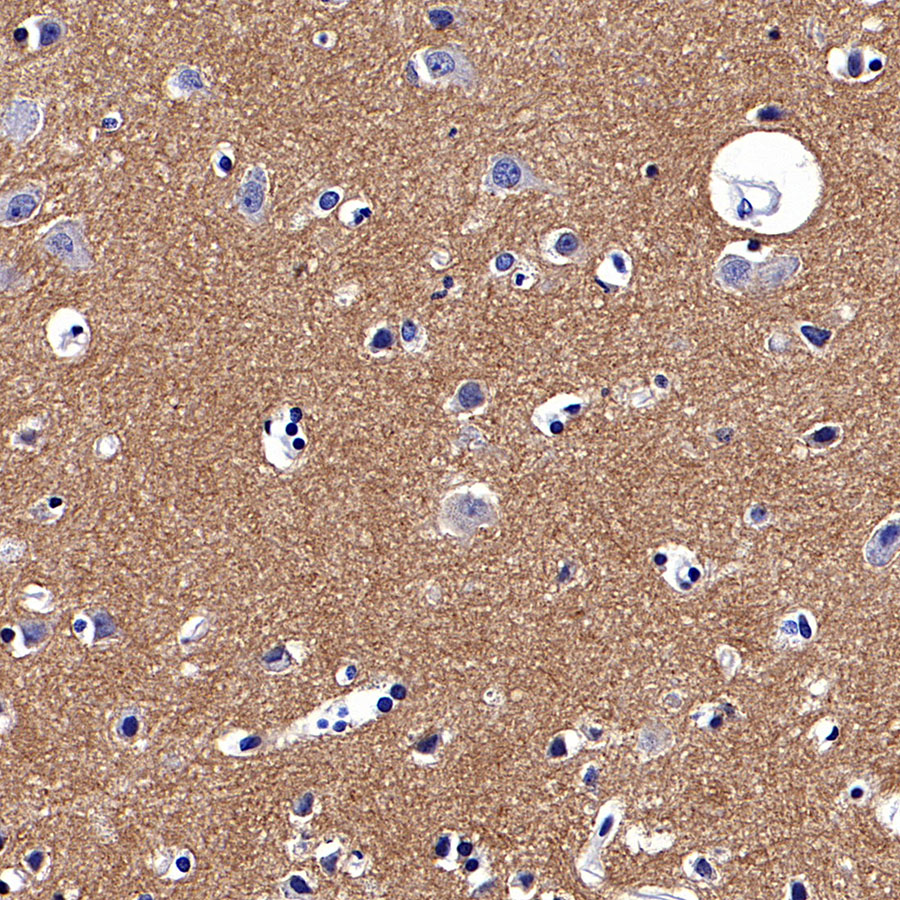
IHC shows positive staining in paraffin-embedded human cerebral cortex. Anti-CD47 antibody was used at 1/200 dilution, followed by a HRP Polymer for Mouse & Rabbit IgG (ready to use). Counterstained with hematoxylin. Heat mediated antigen retrieval with Tris/EDTA buffer pH9.0 was performed before commencing with IHC staining protocol.
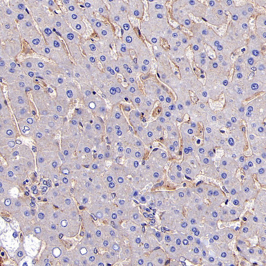
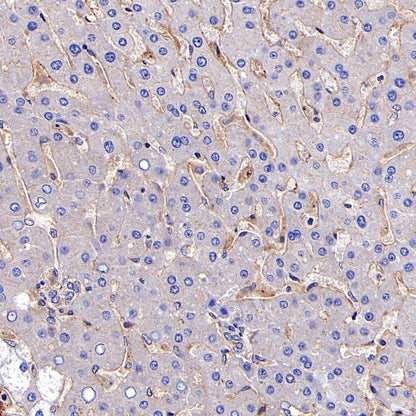
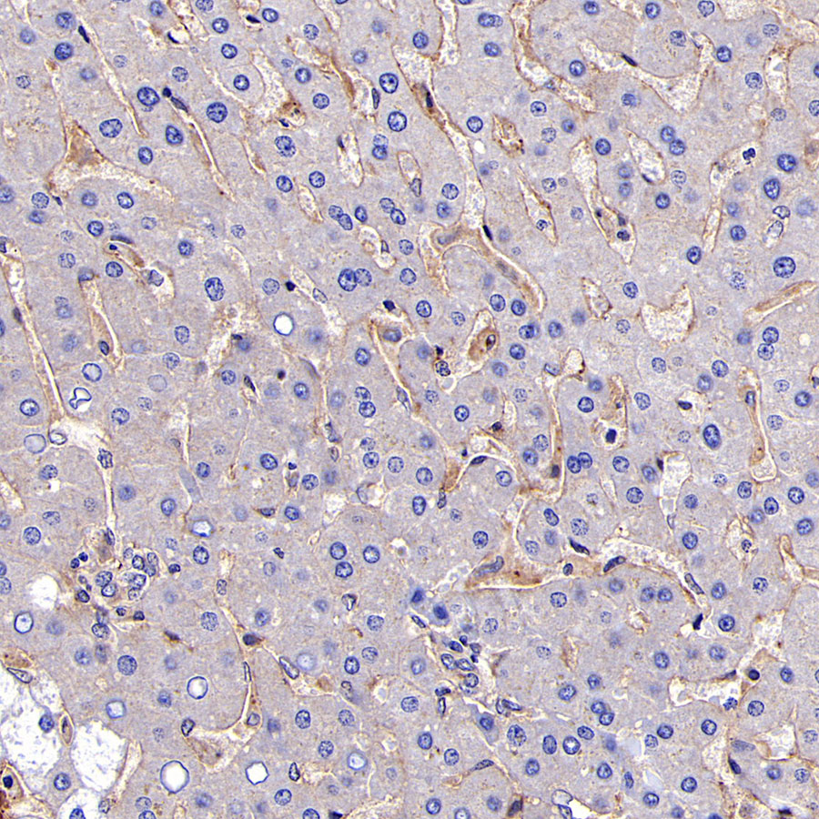
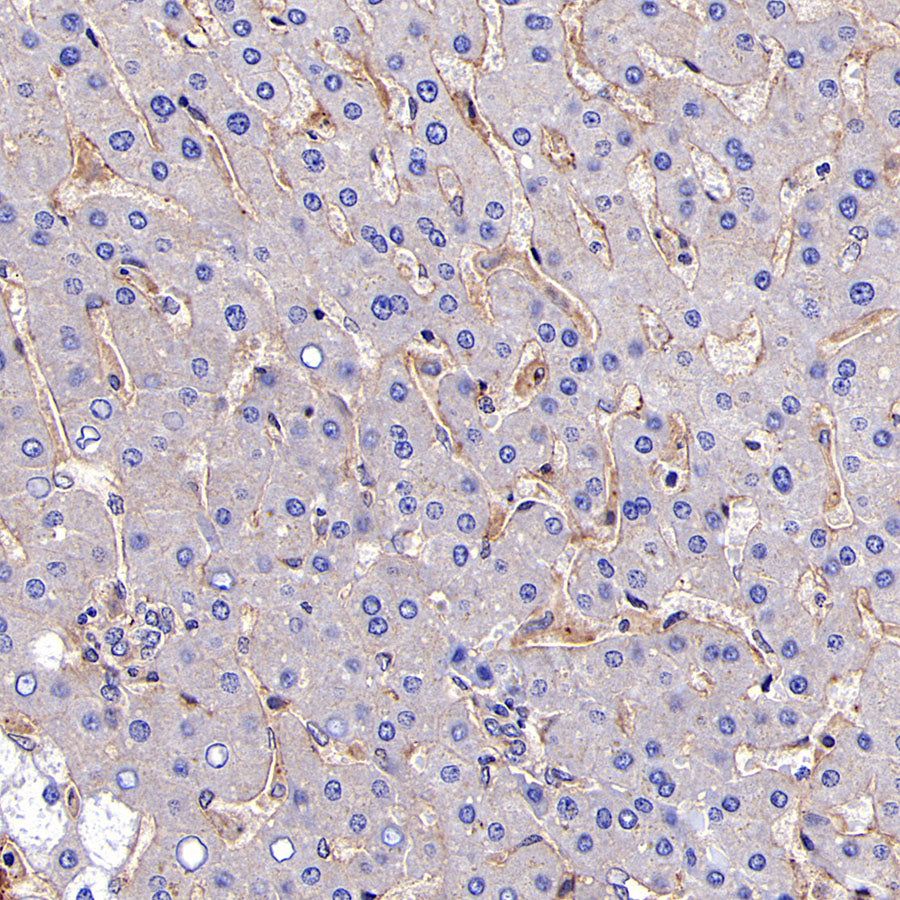
IHC shows positive staining in paraffin-embedded human liver. Anti-CD47 antibody was used at 1/200 dilution, followed by a HRP Polymer for Mouse & Rabbit IgG (ready to use). Counterstained with hematoxylin. Heat mediated antigen retrieval with Tris/EDTA buffer pH9.0 was performed before commencing with IHC staining protocol.
IHC shows positive staining in paraffin-embedded human tonsil. Anti-CD47 antibody was used at 1/200 dilution, followed by a HRP Polymer for Mouse & Rabbit IgG (ready to use). Counterstained with hematoxylin. Heat mediated antigen retrieval with Tris/EDTA buffer pH9.0 was performed before commencing with IHC staining protocol.
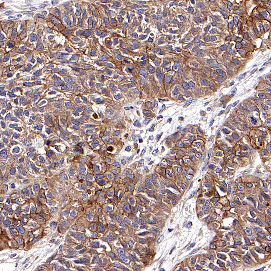
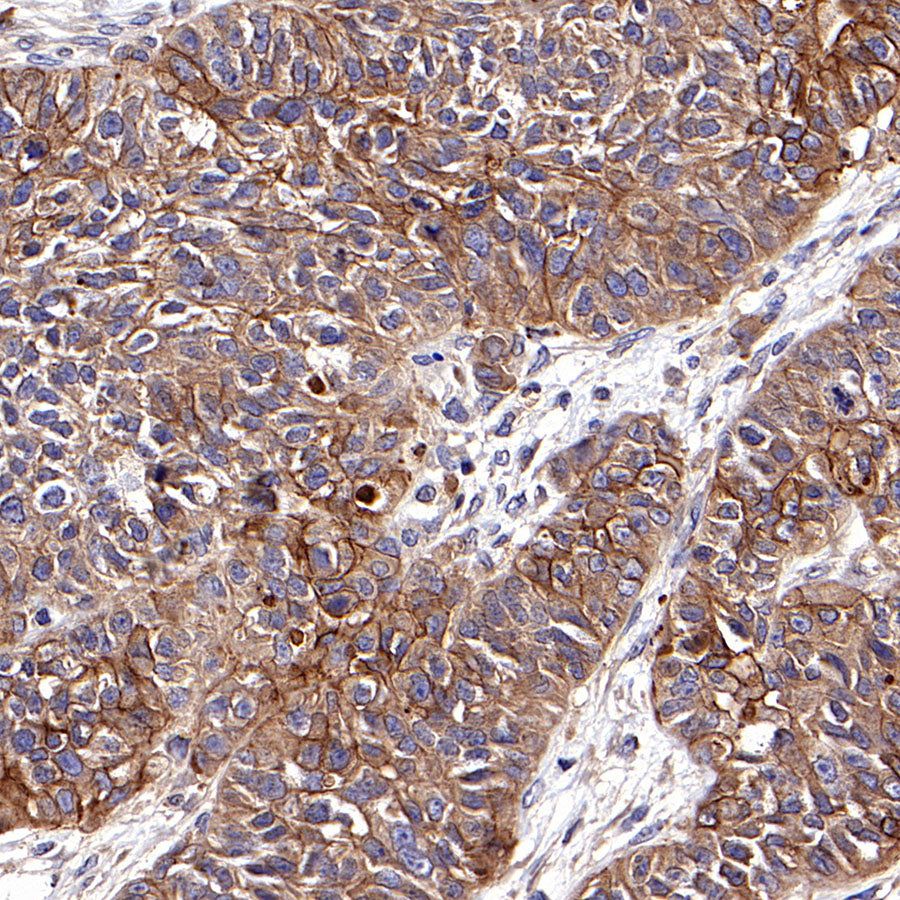
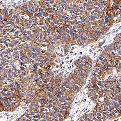
IHC shows positive staining in paraffin-embedded human ovarian carcinoma. Anti-CD47 antibody was used at 1/200 dilution, followed by a HRP Polymer for Mouse & Rabbit IgG (ready to use). Counterstained with hematoxylin. Heat mediated antigen retrieval with Tris/EDTA buffer pH9.0 was performed before commencing with IHC staining protocol.