Product Details
Product Details
Product Specification
| Host | Rabbit |
| Antigen | CD226 |
| Synonyms | DNAM-1, TLisA1, PTA-1 |
| Immunogen | Recombinant Protein |
| Location | Cell membrane |
| Accession | Q15762 |
| Clone Number | SDT-284-30 |
| Application | WB, IHC-P |
| Reactivity | Hu |
| Purification | Protein A |
| Concentration | 0.5 mg/ml |
| Physical Appearance | Liquid |
| Storage Buffer | PBS, 40% Glycerol, 0.05% BSA, 0.03% Proclin 300 |
| Stability & Storage | 12 months from date of receipt / reconstitution, -20 °C as supplied |
Dilution
| application | dilution | species |
| WB | 1:1000 | null |
| IHC-P | 1:1000 | null |
Background
CD226, namely T lineage specific activation antigen 1 (TLisA1), platelet and T cell antigen 1 (PTA-1), or DNAM-1, is a member of the immunoglobulin superfamily. It is a member of the immunoglobulin superfamily, and a functional protein initially expressed on natural killer and T cells [PMID: 32850777].
Picture
Picture
Western Blot

WB result of CD226 Rabbit mAb Primary antibody: CD226 Rabbit mAb at 1/1000 dilution Lane 1: HeLa whole cell lysate 20 µg Lane 2: Jurkat whole cell lysate 20 µg Negative control: HeLa whole cell lysate Secondary antibody: Goat Anti-Rabbit IgG, (H+L), HRP conjugated at 1/10000 dilution Predicted MW: 39 kDa Observed MW: 55~65 kDa
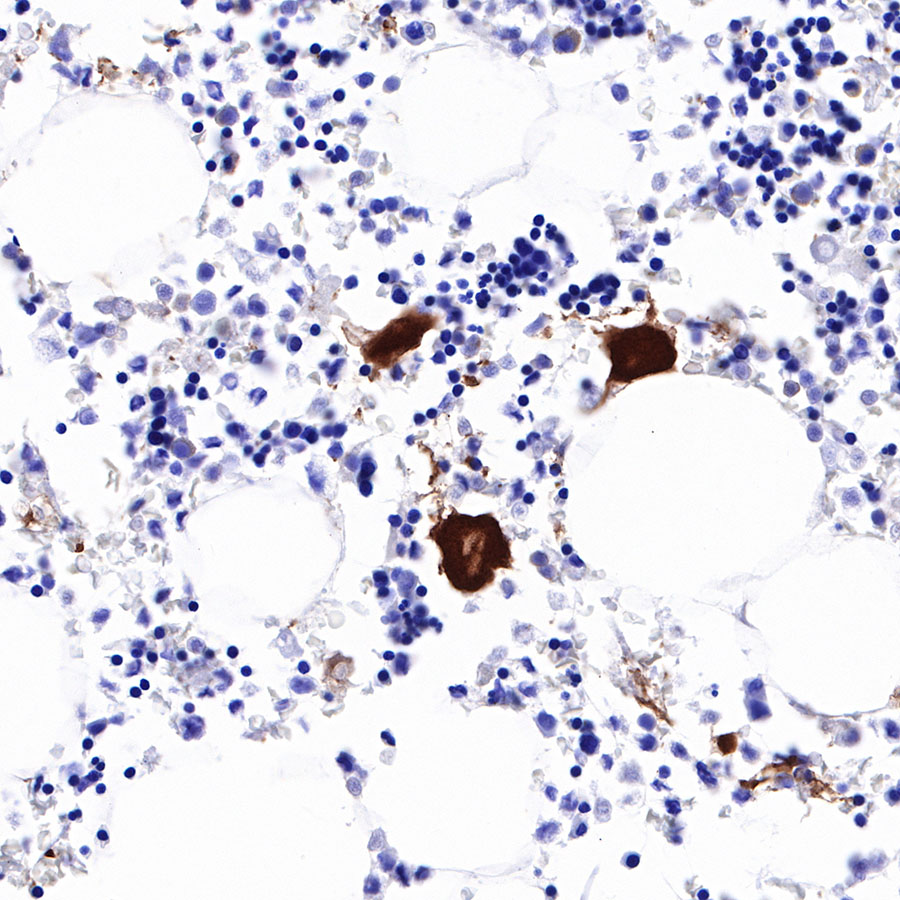
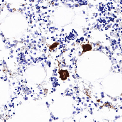
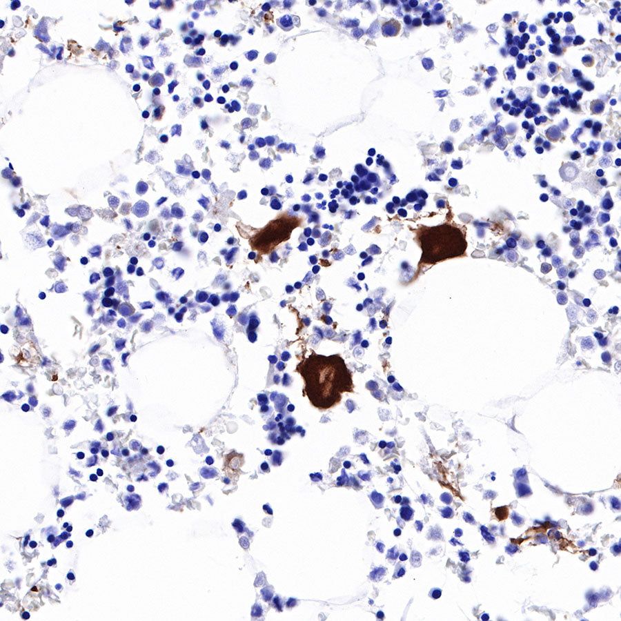
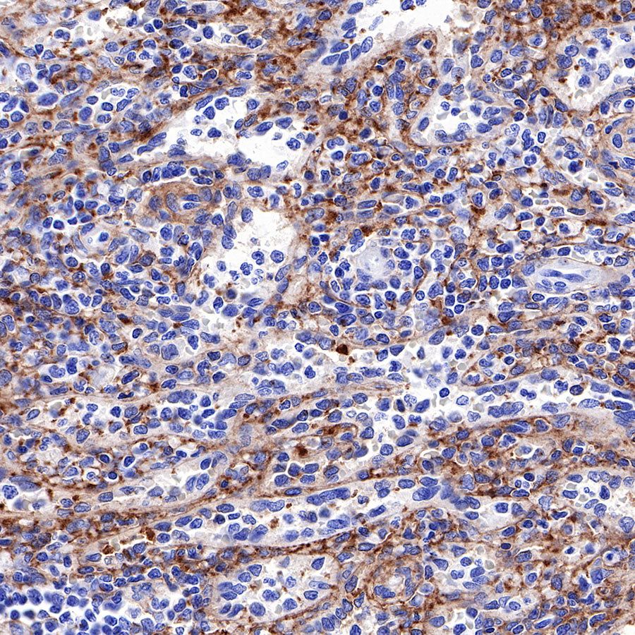
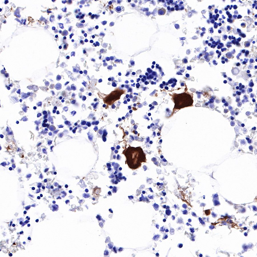
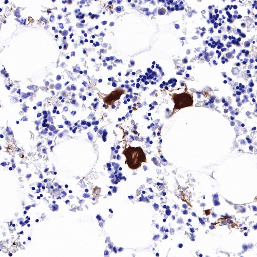
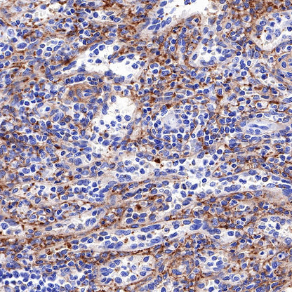
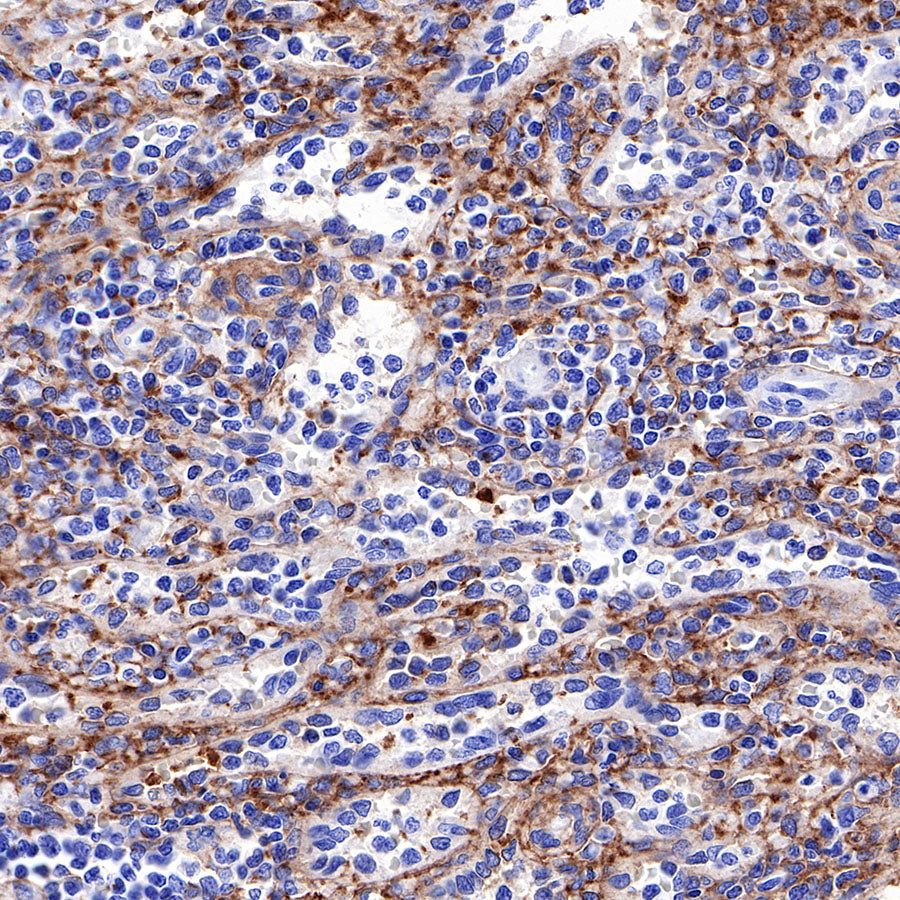
Immunohistochemistry

IHC shows positive staining in paraffin-embedded human spleen. Anti-CD226 antibody was used at 1/1000 dilution, followed by a HRP Polymer for Mouse & Rabbit IgG (ready to use). Counterstained with hematoxylin. Heat mediated antigen retrieval with Tris/EDTA buffer pH9.0 was performed before commencing with IHC staining protocol.

IHC shows positive staining in paraffin-embedded human bone marrow. Anti-CD226 antibody was used at 1/1000 dilution, followed by a HRP Polymer for Mouse & Rabbit IgG (ready to use). Counterstained with hematoxylin. Heat mediated antigen retrieval with Tris/EDTA buffer pH9.0 was performed before commencing with IHC staining protocol.
