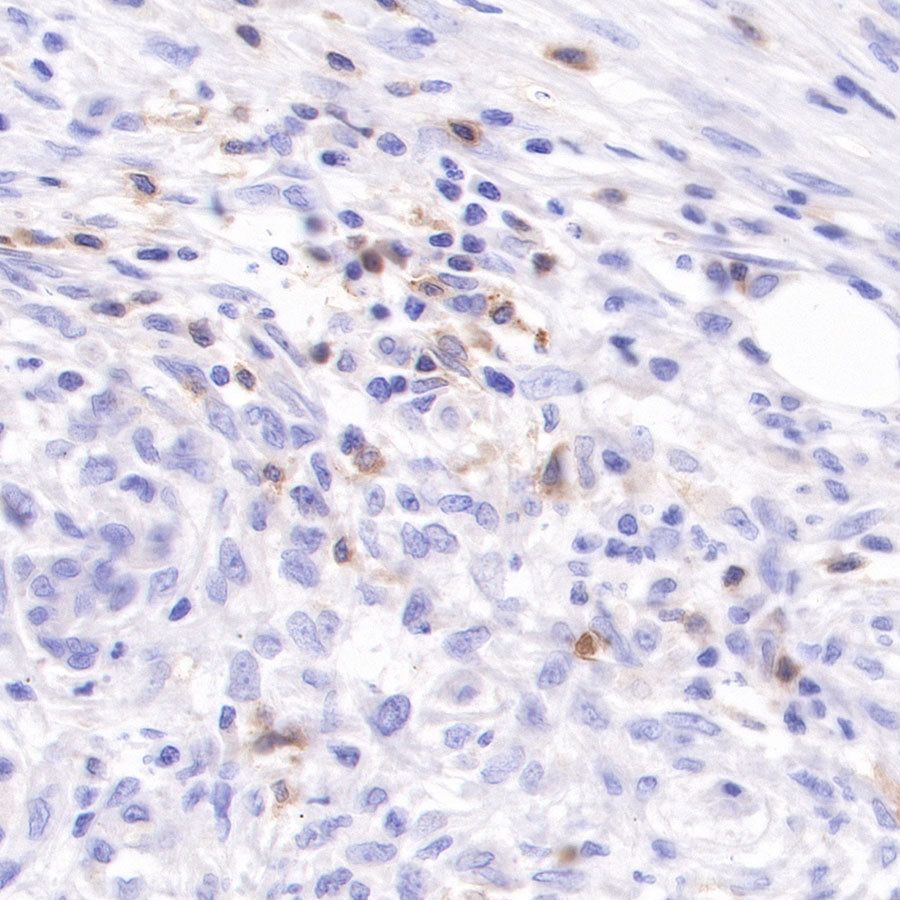
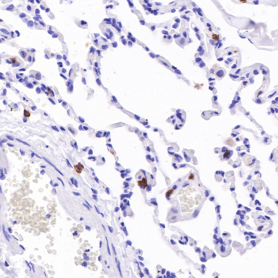
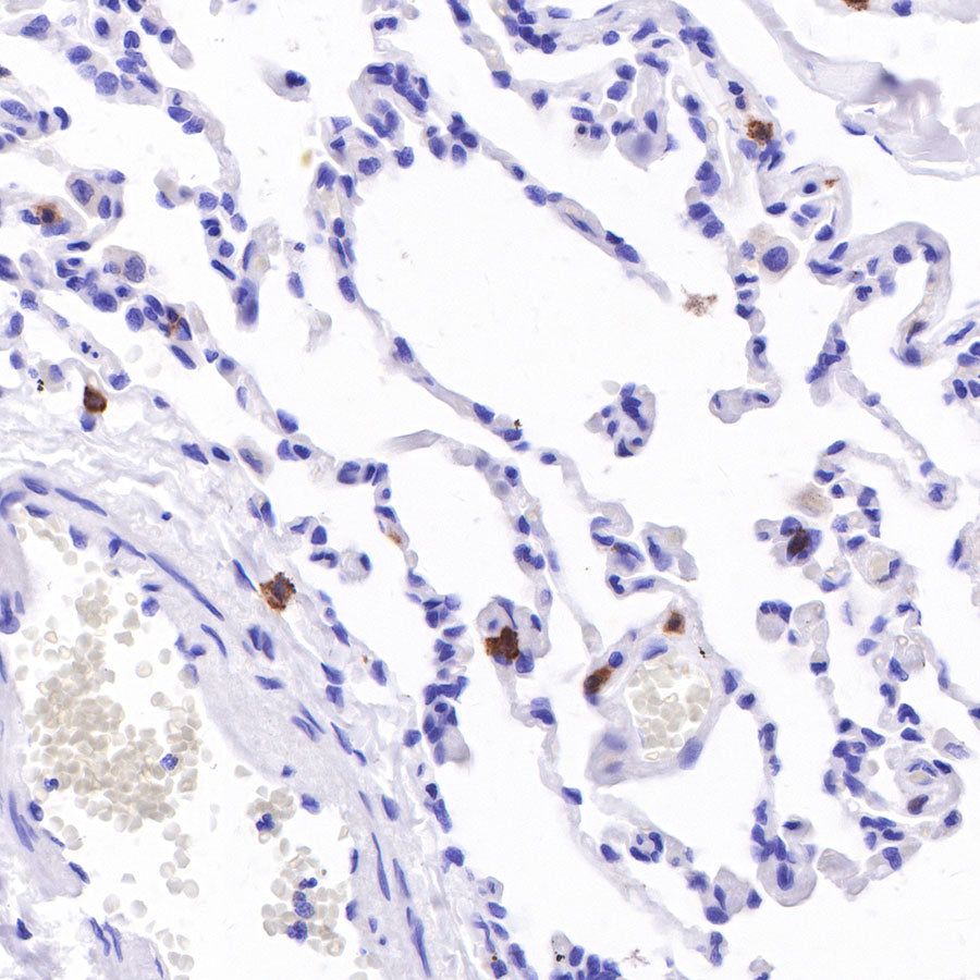
IHC shows positive staining in paraffin-embedded human lung. Anti-CD103 antibody was used at 1/100 dilution, followed by a HRP Polymer for Mouse & Rabbit IgG (ready to use). Counterstained with hematoxylin. Heat mediated antigen retrieval with Tris/EDTA buffer pH9.0 was performed before commencing with IHC staining protocol.
Product Details
Product Details
Product Specification
| Host | Rabbit |
| Antigen | CD103 |
| Synonyms | Integrin alpha-E, HML-1 antigen, Integrin alpha-IEL, Mucosal lymphocyte 1 antigen, ITGAE |
| Immunogen | N/A |
| Location | Membrane |
| Accession | P38570 |
| Clone Number | SDT-R134 |
| Antibody Type | Recombinant mAb |
| Application | IHC-P |
| Reactivity | Hu |
| Purification | Protein A |
| Concentration | 0.5 mg/ml |
| Tag | N/A |
| Physical Appearance | Liquid |
| Storage Buffer | PBS, 40% Glycerol, 0.05% BSA, 0.03% Proclin 300 |
| Stability & Storage | 12 months from date of receipt / reconstitution, -20 °C as supplied |
Dilution
| application | dilution | species |
| IHC-P | 1:100 | null |
Background
CD103, an integrin mediating lymphocyte retention in epithelial tissues. CD103+ Treg suppressed T effector cell activation more strongly than CD103(neg) Treg. Expression of CD103 on Treg closely correlated with intratumoral levels of transforming growth factor β (TGF-β) and could be induced in a TGF-β-dependent manner by tumor cell lines [PMID: 21207371].
Picture
Picture
Immunohistochemistry


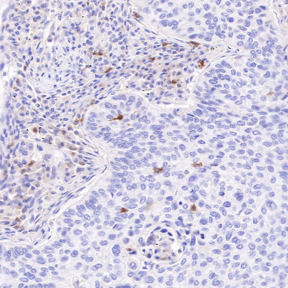
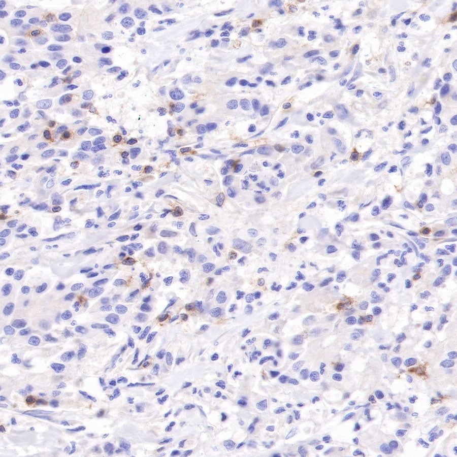
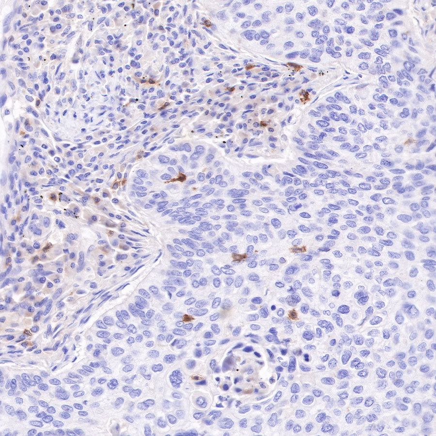
IHC shows positive staining in paraffin-embedded human lung squamous cell carcinoma. Anti-CD103 antibody was used at 1/100 dilution, followed by a HRP Polymer for Mouse & Rabbit IgG (ready to use). Counterstained with hematoxylin. Heat mediated antigen retrieval with Tris/EDTA buffer pH9.0 was performed before commencing with IHC staining protocol.

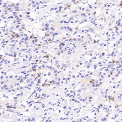
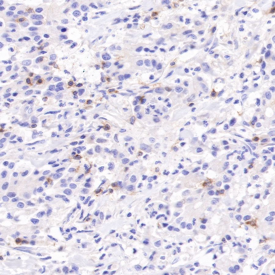
IHC shows positive staining in paraffin-embedded human pancreatic cancer. Anti-CD103 antibody was used at 1/100 dilution, followed by a HRP Polymer for Mouse & Rabbit IgG (ready to use). Counterstained with hematoxylin. Heat mediated antigen retrieval with Tris/EDTA buffer pH9.0 was performed before commencing with IHC staining protocol.

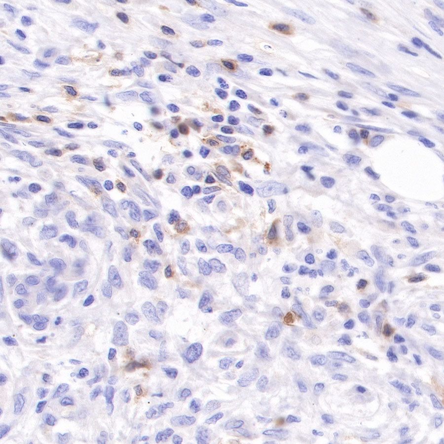
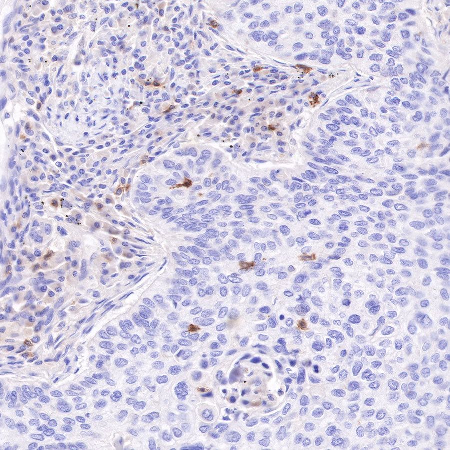
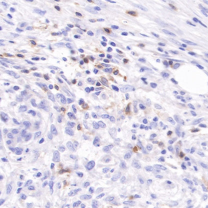
IHC shows positive staining in paraffin-embedded human gastric cancer. Anti-CD103 antibody was used at 1/100 dilution, followed by a HRP Polymer for Mouse & Rabbit IgG (ready to use). Counterstained with hematoxylin. Heat mediated antigen retrieval with Tris/EDTA buffer pH9.0 was performed before commencing with IHC staining protocol.
