WB result of CAIX Rabbit mAb
Primary antibody: CAIX Rabbit mAb at 1/1000 dilution
Lane 1: mouse stomach lysate 20 µg
Secondary antibody: Goat Anti-Rabbit IgG, (H+L), HRP conjugated at 1/10000 dilution
Predicted MW: 50kDa
Observed MW: 54kDa
| Host | Rabbit |
| Antigen | CAIX |
| Synonyms | CA 9, Carbonic anhydrase 9, Carbonate dehydratase IX, Membrane antigen MN homolog |
| Immunogen | Recombinant Protein |
| Location | Cytoplasm, Cell membrane |
| Accession | Q8VHB5 |
| Clone Number | SDT-356-21 |
| Antibody Type | Recombinant mAb |
| Application | WB, IHC-P |
| Reactivity | Ms, Rt |
| Purification | Protein A |
| Concentration | 0.5 mg/ml |
| Tag | N/A |
| Physical Appearance | Liquid |
| Storage Buffer | PBS, 40% Glycerol, 0.05% BSA, 0.03% Proclin 300 |
| Stability & Storage | 12 months from date of receipt / reconstitution, -20 °C as supplied |
| application | dilution | species |
| WB | 1:1000 | |
| IHC-P | 1:8000 |
Carbonic anhydrase IX has been under intensive investigation as a therapeutic target in cancer. Studies demonstrate that this enzyme has a key role in pH regulation in cancer cells, allowing these cells to adapt to the adverse conditions of the tumour microenviroment. Novel CAIX inhibitors have shown efficacy in both in vitro and in vivo pre-clinical cancer models, adversely affecting cell viability, tumour formation, migration, invasion, and metastatic growth when used alone. In co-treatments, CAIX inhibitors may enhance the effects of anti-angiogenic drugs or chemotherapy agents [PMID: 29439394].

WB result of CAIX Rabbit mAb
Primary antibody: CAIX Rabbit mAb at 1/1000 dilution
Lane 1: mouse stomach lysate 20 µg
Secondary antibody: Goat Anti-Rabbit IgG, (H+L), HRP conjugated at 1/10000 dilution
Predicted MW: 50kDa
Observed MW: 54kDa

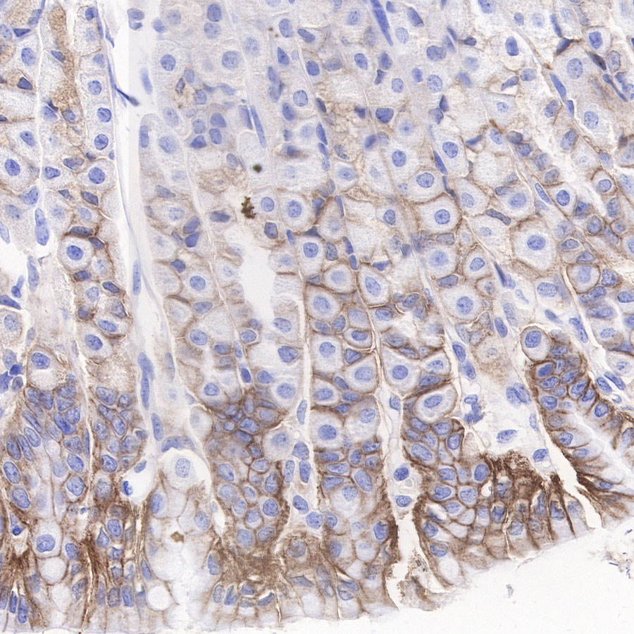
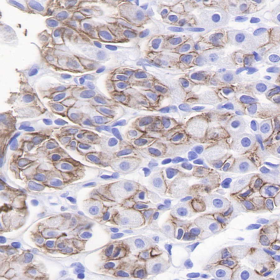
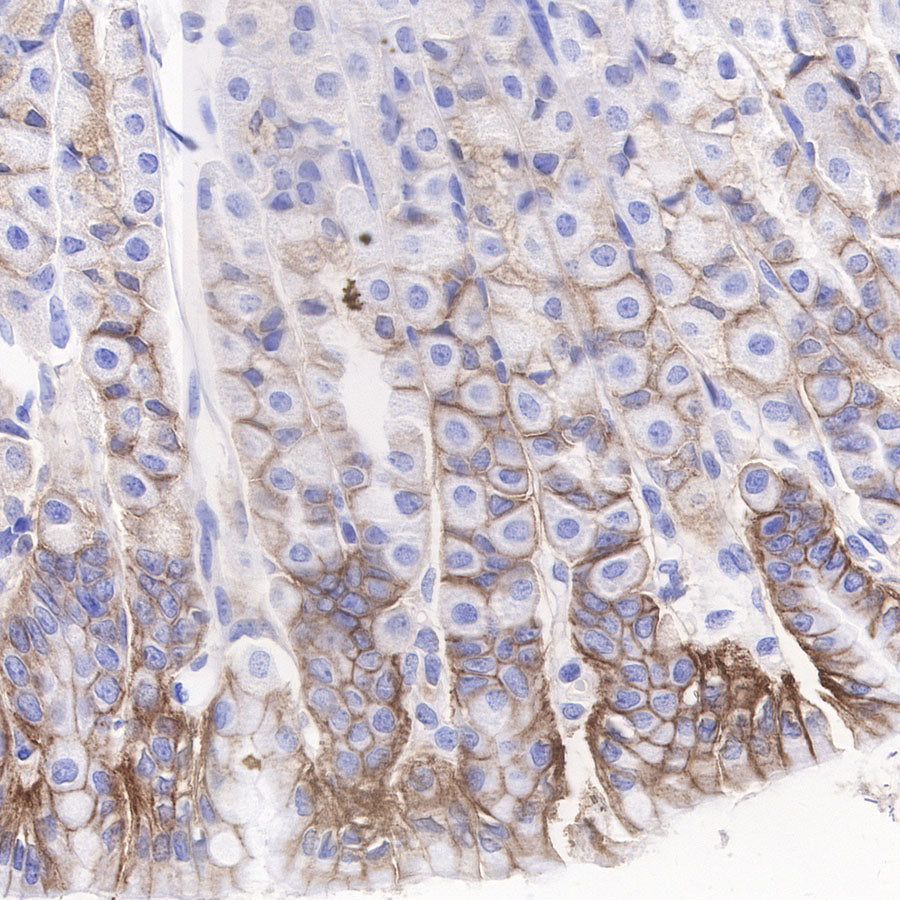
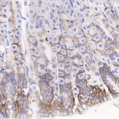
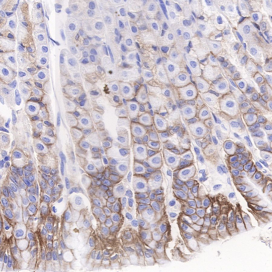
IHC shows positive staining in paraffin-embedded mouse stomach. Anti-CAIX antibody was used at 1/8000 dilution, followed by a HRP Polymer for Mouse & Rabbit IgG (ready to use). Counterstained with hematoxylin. Heat mediated antigen retrieval with Tris/EDTA buffer pH9.0 was performed before commencing with IHC staining protocol.

Negative control: IHC shows negative staining in paraffin-embedded mouse liver. Anti-CAIX antibody was used at 1/8000 dilution, followed by a HRP Polymer for Mouse & Rabbit IgG (ready to use). Counterstained with hematoxylin. Heat mediated antigen retrieval with Tris/EDTA buffer pH9.0 was performed before commencing with IHC staining protocol.

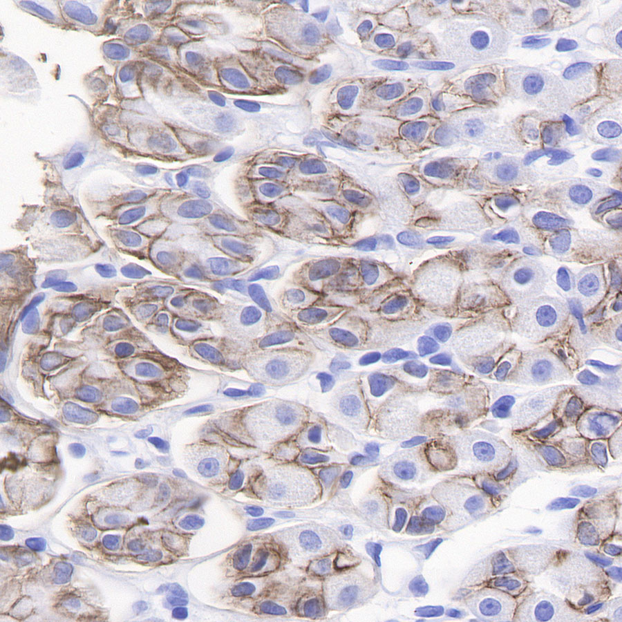
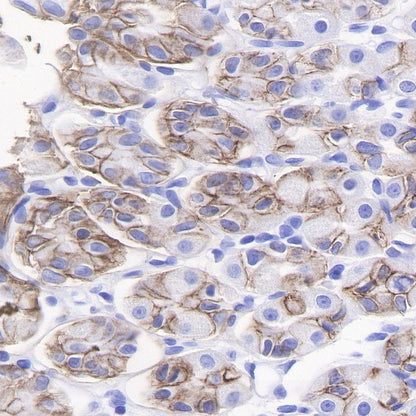
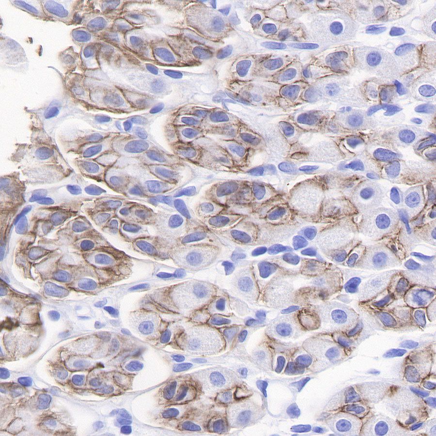
IHC shows positive staining in paraffin-embedded rat stomach. Anti-CAIX antibody was used at 1/8000 dilution, followed by a HRP Polymer for Mouse & Rabbit IgG (ready to use). Counterstained with hematoxylin. Heat mediated antigen retrieval with Tris/EDTA buffer pH9.0 was performed before commencing with IHC staining protocol.

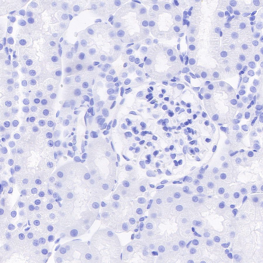
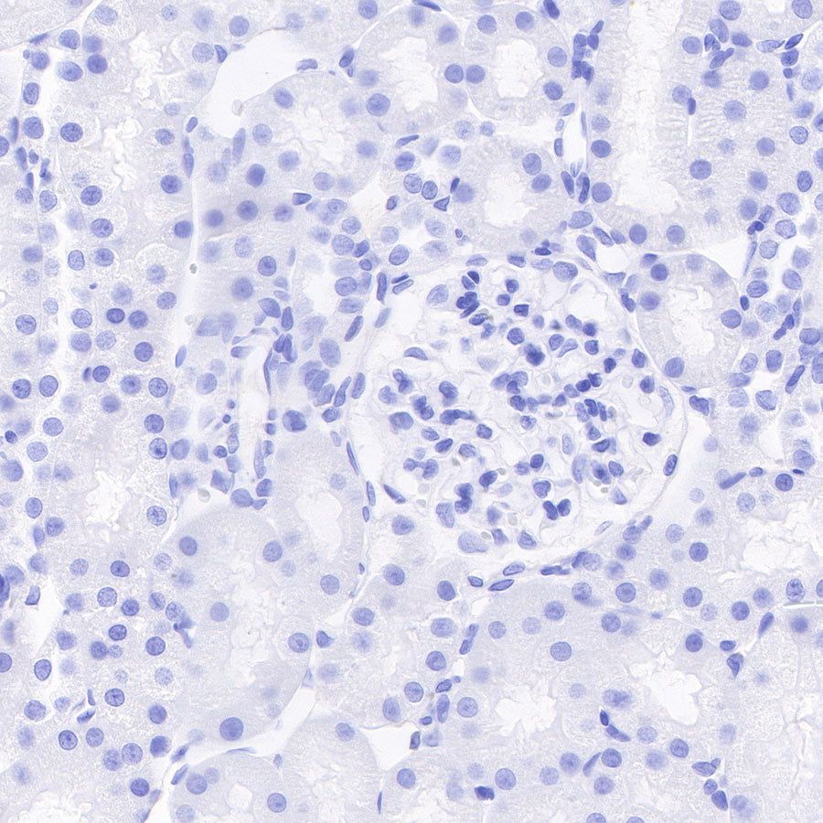
Negative control: IHC shows negative staining in paraffin-embedded rat kidney. Anti-CAIX antibody was used at 1/8000 dilution, followed by a HRP Polymer for Mouse & Rabbit IgG (ready to use). Counterstained with hematoxylin. Heat mediated antigen retrieval with Tris/EDTA buffer pH9.0 was performed before commencing with IHC staining protocol.
