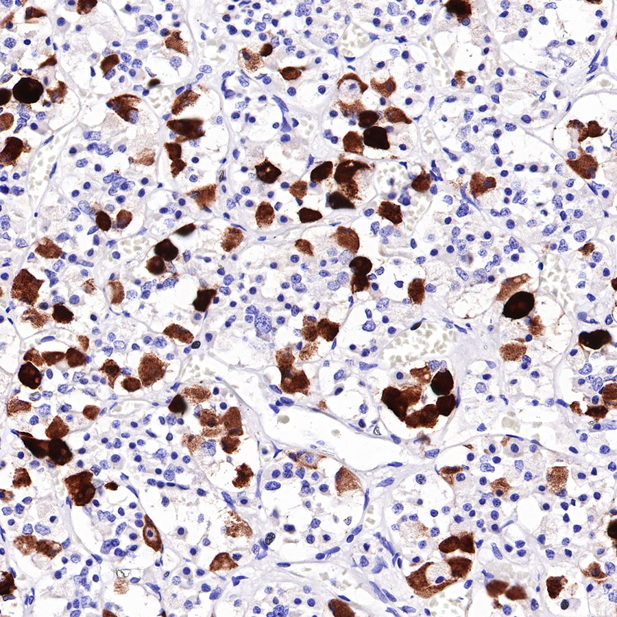
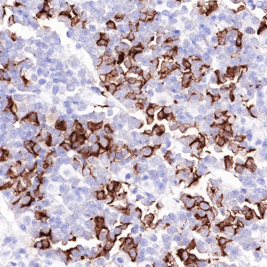
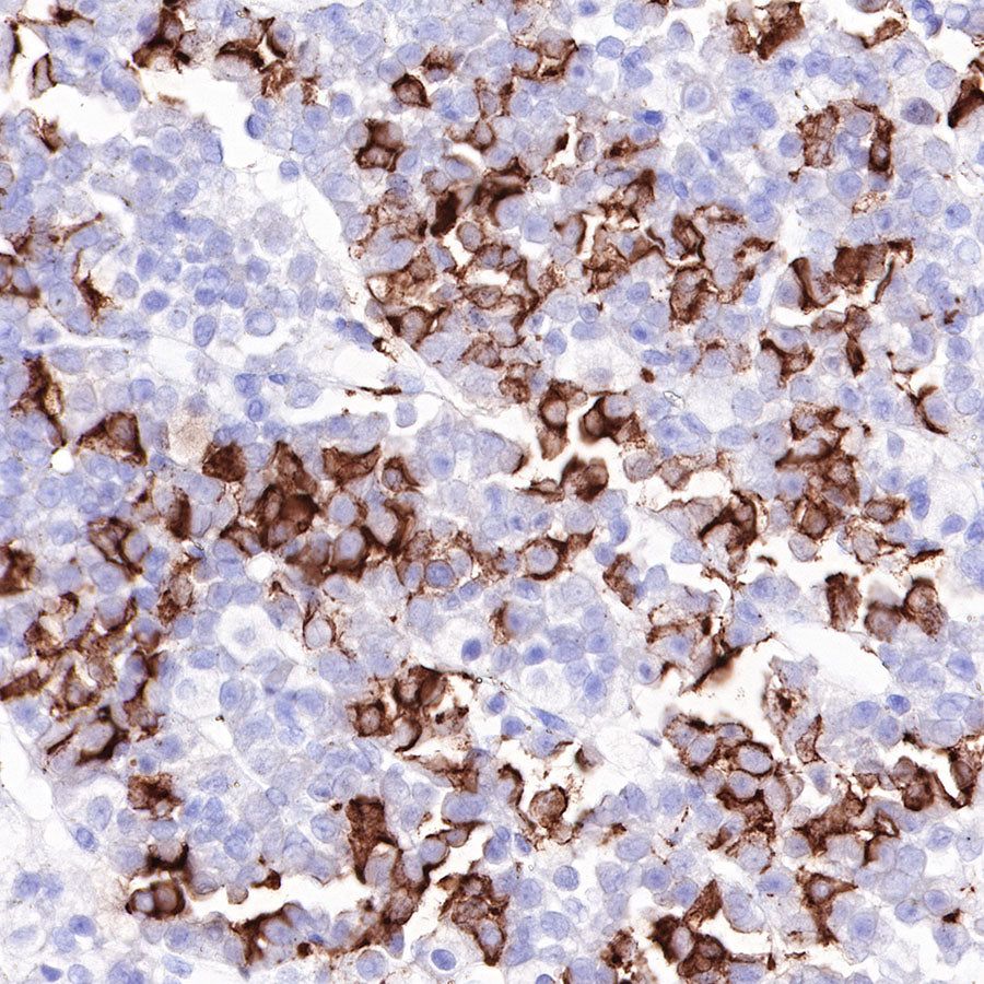
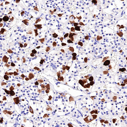
IHC shows positive staining in paraffin-embedded human pituitary. Anti-ACTH antibody was used at 1/2000 dilution, followed by a HRP Polymer for Mouse & Rabbit IgG (ready to use). Counterstained with hematoxylin. Heat mediated antigen retrieval with Tris/EDTA buffer pH9.0 was performed before commencing with IHC staining protocol.
Product Details
Product Details
Product Specification
| Host | Rabbit |
| Antigen | ACTH |
| Synonyms | Adrenocorticotropin, Adrenocorticotropic hormone, Corticotropin |
| Immunogen | Synthetic Peptide |
| Location | Secreted |
| Accession | P01189 |
| Clone Number | SDT-363-60 |
| Antibody Type | Recombinant mAb |
| Application | IHC-P, IF |
| Reactivity | Hu, Rt |
| Predicted Reactivity | Mq |
| Purification | Protein A |
| Concentration | 0.5 mg/ml |
| Tag | N/A |
| Physical Appearance | Liquid |
| Storage Buffer | PBS, 40% Glycerol, 0.05% BSA, 0.03% Proclin 300 |
| Stability & Storage | 12 months from date of receipt / reconstitution, -20 °C as supplied |
Dilution
| application | dilution | species |
| IHC-P | 1:500-1:2000 | |
| IF | 1:2000 |
Background
Adrenocorticotropic hormone (ACTH) is a tropic hormone produced by the anterior pituitary. The hypothalamic-pituitary axis controls it. ACTH regulates cortisol and androgen production. Diseases associated with ACTH include Addison disease, Cushing syndrome, and Cushing disease.
Picture
Picture
Immunohistochemistry


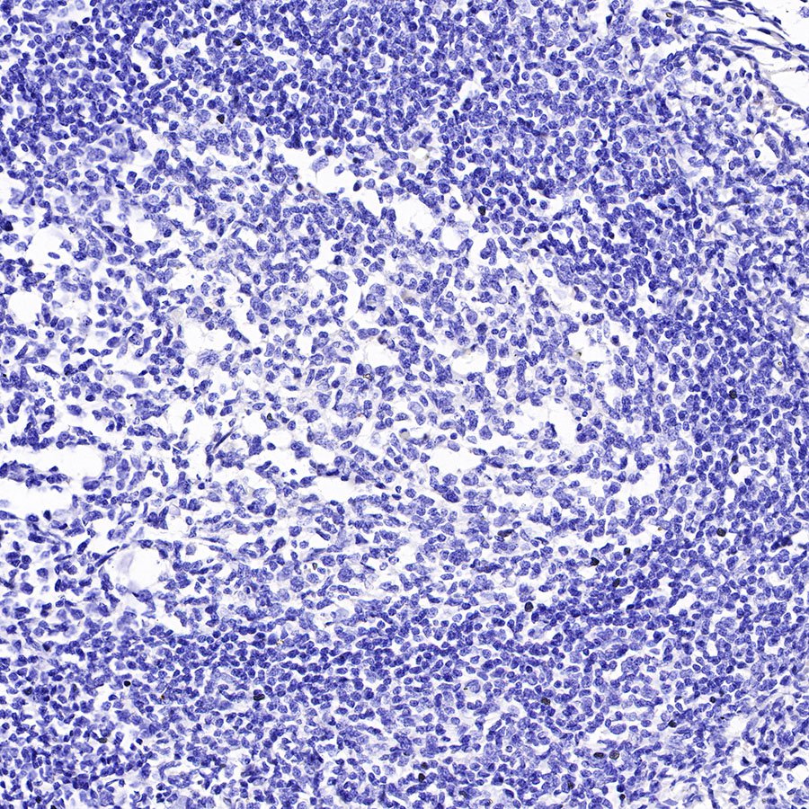
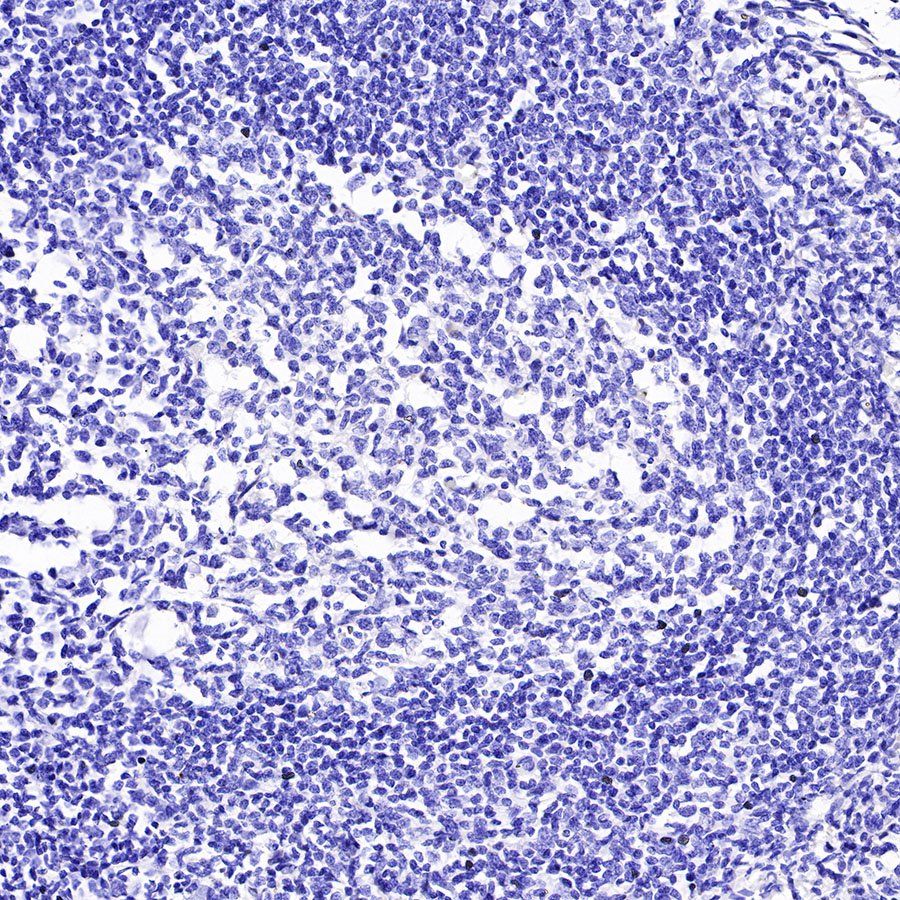
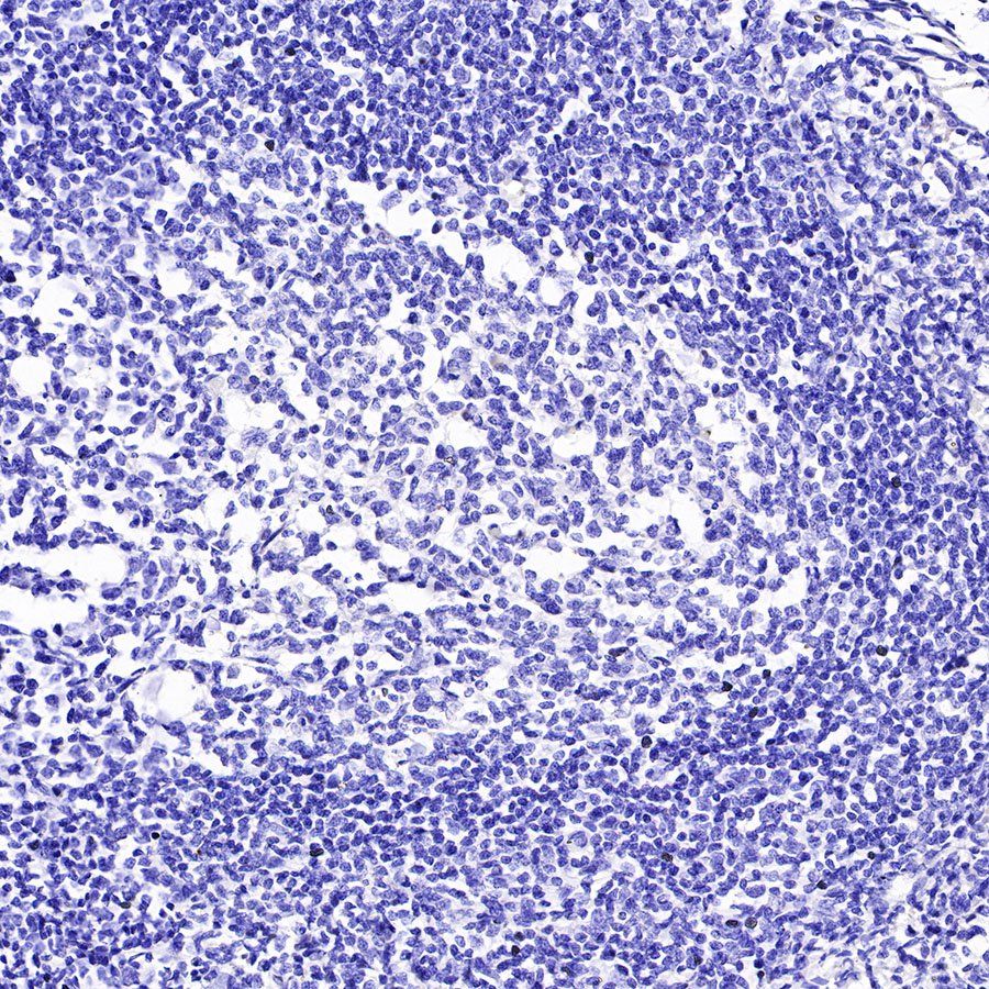
Negative control: IHC shows negative staining in paraffin-embedded human tonsil. Anti-ACTH antibody was used at 1/2000 dilution, followed by a HRP Polymer for Mouse & Rabbit IgG (ready to use). Counterstained with hematoxylin. Heat mediated antigen retrieval with Tris/EDTA buffer pH9.0 was performed before commencing with IHC staining protocol.

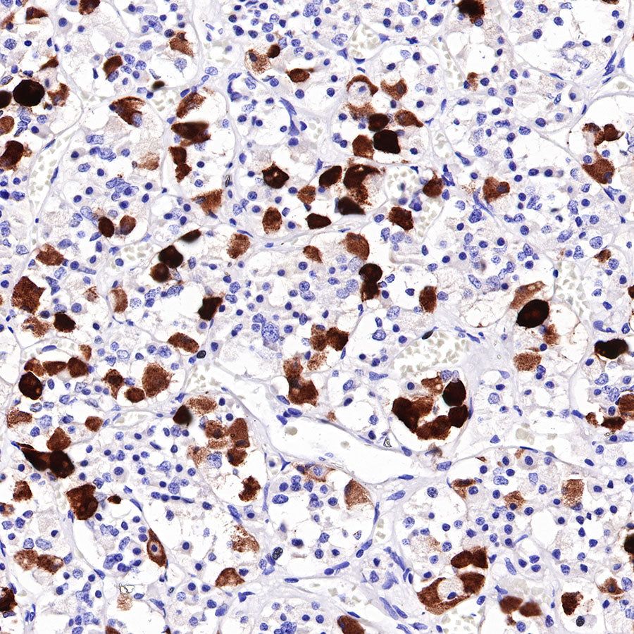
IHC shows positive staining in paraffin-embedded rat pituitary. Anti-ACTH antibody was used at 1/500 dilution, followed by a HRP Polymer for Mouse & Rabbit IgG (ready to use). Counterstained with hematoxylin. Heat mediated antigen retrieval with Tris/EDTA buffer pH9.0 was performed before commencing with IHC staining protocol.

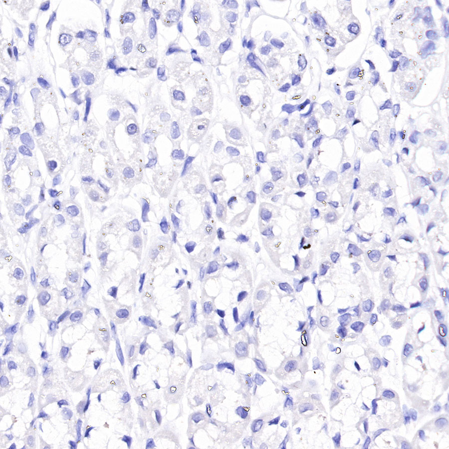
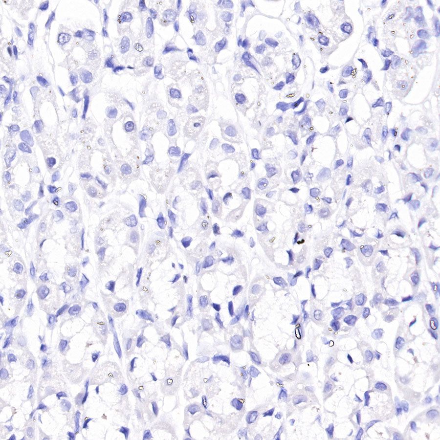
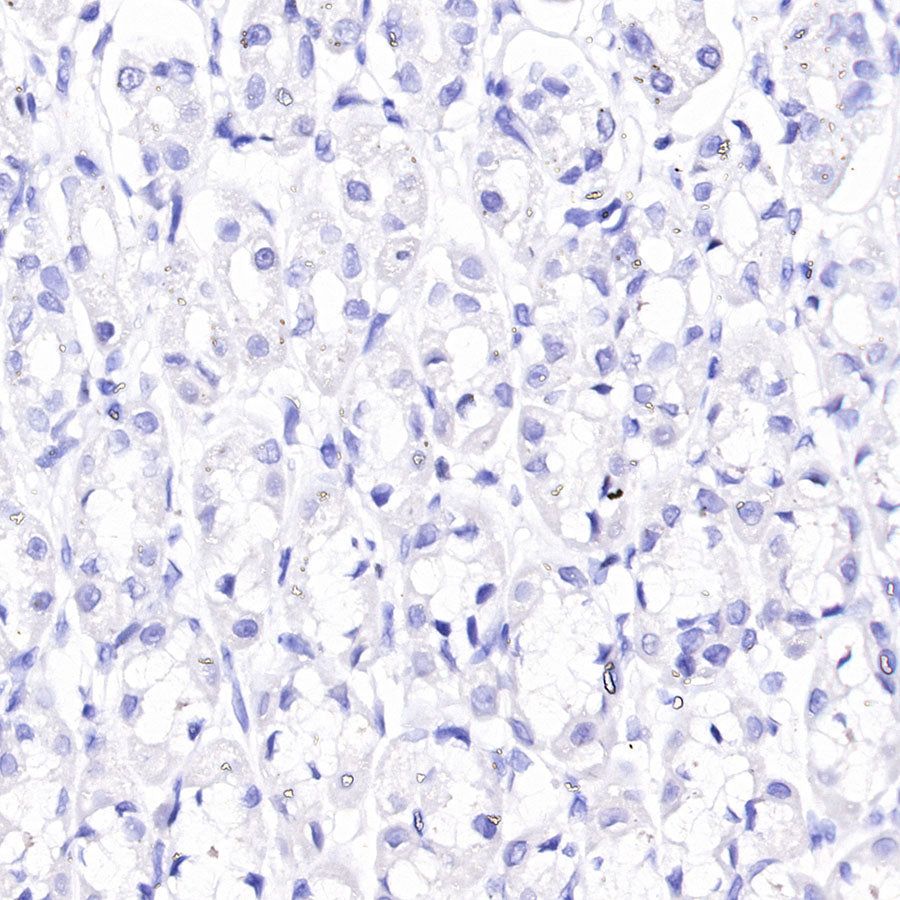
Negative control: IHC shows negative staining in paraffin-embedded rat stomach. Anti-ACTH antibody was used at 1/500 dilution, followed by a HRP Polymer for Mouse & Rabbit IgG (ready to use). Counterstained with hematoxylin. Heat mediated antigen retrieval with Tris/EDTA buffer pH9.0 was performed before commencing with IHC staining protocol.
Immunofluorescence

IF shows positive staining in paraffin-embedded human pituitary. Anti-ACTH antibody was used at 1/2000 dilution (Green) and incubated overnight at 4°C. Goat polyclonal Antibody to Rabbit IgG - H&L (Alexa Fluor® 488) was used as secondary antibody at 1/1000 dilution. Counterstained with DAPI (Blue). Heat mediated antigen retrieval with Tris/EDTA buffer pH9.0 was performed before commencing with IF staining protocol.

Negative control: IF shows negative staining in paraffin-embedded human cardiac muscle. Anti-ACTH antibody was used at 1/2000 dilution and incubated overnight at 4°C. Goat polyclonal Antibody to Rabbit IgG - H&L (Alexa Fluor® 488) was used as secondary antibody at 1/1000 dilution. Counterstained with DAPI (Blue). Heat mediated antigen retrieval with Tris/EDTA buffer pH9.0 was performed before commencing with IF staining protocol.
