
Technical Articles
Recent Articles

STARTER Pathological IHC Antibod...

Dual-Defect Nitrogen-Rich Carbon...

Bile Acid Receptor FXR Regulatin...

CDK Kinases: The Regulators of the Cell Cycle
Introduction CDKs (cyclin-dependent kinases) are a crucial class of protein kinases. Their activity is positively regulated by cyclins and negatively regulated by CDK inhibitors (CKIs). The fluctuations in their activation state...
CDK Kinases: The Regulators of the Cell Cycle
Introduction CDKs (cyclin-dependent kinases) are a crucial class of protein kinases. Their activity is positively regulated by cyclins and negatively regulated by CDK inhibitors (CKIs). The fluctuations in their activation state...
Read More
In Vitro Differentiation Protocol for Th1 and Th17 Cells
Introduction to T Cell Subsets T Cell Subsets CD4+ T cells can be classified into Th1, Th2, Th17 cells, and regulatory T cells (Tregs). Th1 cells are primarily regulated by the transcription factors STAT4 and T-bet. They secrete...
In Vitro Differentiation Protocol for Th1 and Th17 Cells
Introduction to T Cell Subsets T Cell Subsets CD4+ T cells can be classified into Th1, Th2, Th17 cells, and regulatory T cells (Tregs). Th1 cells are primarily regulated by the transcription factors STAT4 and T-bet. They secrete...
Read More
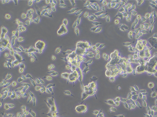
SH-SY5Y Cell Culture Guide
Human neuroblastoma cells (SH-SY5Y) were derived from the SK-N-SH cell line, which was established from a metastatic osteosarcoma in 1970, through three rounds of cloning (SK-N-SH → SH-SY → SH-SY5...
SH-SY5Y Cell Culture Guide
Human neuroblastoma cells (SH-SY5Y) were derived from the SK-N-SH cell line, which was established from a metastatic osteosarcoma in 1970, through three rounds of cloning (SK-N-SH → SH-SY → SH-SY5...
Read More
Pluripotent Stem Cell-Derived Neural Stem Cell Differentiation: A Practical G...
In the grand blueprint of life, stem cells play the role of "universal architects," possessing the ability to self-renew and differentiate into various types of cells. Human pluripotent stem cells...
Pluripotent Stem Cell-Derived Neural Stem Cell Differentiation: A Practical G...
In the grand blueprint of life, stem cells play the role of "universal architects," possessing the ability to self-renew and differentiate into various types of cells. Human pluripotent stem cells...
Read More
Deep Mining Tools for LncRNA Data: RIP Technology
Long non-coding RNA (lncRNA) refers to RNA molecules longer than 200 nucleotides that typically do not encode proteins. Instead, they function as RNA molecules in various biological activities, such as...
Deep Mining Tools for LncRNA Data: RIP Technology
Long non-coding RNA (lncRNA) refers to RNA molecules longer than 200 nucleotides that typically do not encode proteins. Instead, they function as RNA molecules in various biological activities, such as...
Read More
Immunological Exploration: Solutions for Inducing Macrophage Differentiation
Macrophages, as central components of the immune system, play critical roles in immune defense and the regulation of inflammation. To gain a deeper understanding of their biological properties and...
Immunological Exploration: Solutions for Inducing Macrophage Differentiation
Macrophages, as central components of the immune system, play critical roles in immune defense and the regulation of inflammation. To gain a deeper understanding of their biological properties and...
Read More