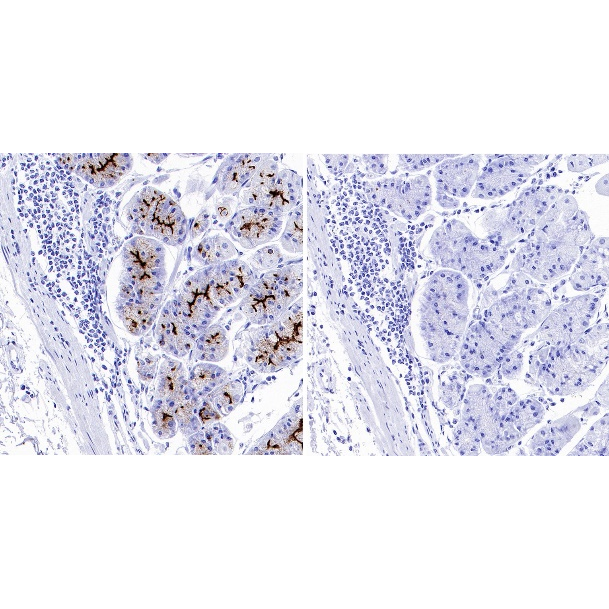
IHC analysis of paraffin-embedded human stomach labelling MUC1 antibody (S0B2293) at 1/1000 dilution (Left) compared with PBS negative control (Right), Goat Anti-Mouse IgG (H+L) (min X Hu, Bov Sr Prot) (S0B4059) was used as the secondary antibody, followed by a HRP Donkey anti-Goat IgG (H+L). Counterstained with hematoxylin. Heat mediated antigen retrieval with Tris/EDTA buffer pH9.0 was performed before commencing with IHC staining protocol.
Product Details
Product Details
Product Specification
| Host | Goat |
| Antigen | Mouse IgG |
| Immunogen | Native protein |
| Antibody Type | Polyclonal antibody |
| Application | ELISA, IHC-P |
| Reactivity | Ms |
| Purification | Immunogen Affinity |
| Concentration | Lot specific* (generally 1 to 5 mg/ml)* |
| Conjugation | Unconjugated |
| Physical Appearance | Liquid |
| Storage Buffer | PBS, pH7.4 |
| Stability & Storage | 12 months from date of receipt / reconstitution, 2 to 8 °C as supplied. |
Dilution
| application | dilution | species |
| ELISA | 0.5-2 μg/ml | Ms |
| IHC-P | 10-40 μg/ml | Ms |
Background
This antibody has been tested by ELISA to ensure minimal cross-reaction with human and Bovine serum proteins.
Picture
Picture
Immunohistochemistry


IHC analysis of paraffin-embedded human tonsil labelling MUC1 antibody (S0B2293) at 1/1000 dilution (Left) compared with PBS negative control (Right), Goat Anti-Mouse IgG (H+L) (min X Hu, Bov Sr Prot) (S0B4059) was used as the secondary antibody, followed by a HRP Donkey anti-Goat IgG (H+L). Counterstained with hematoxylin. Heat mediated antigen retrieval with Tris/EDTA buffer pH9.0 was performed before commencing with IHC staining protocol.
