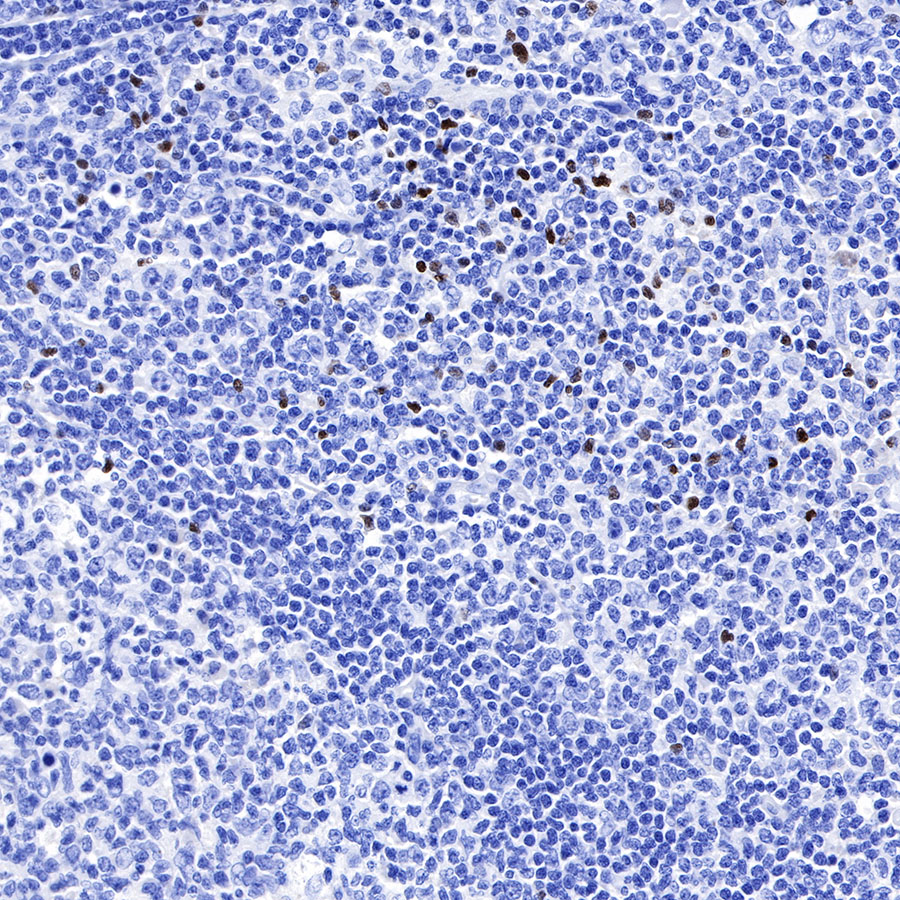
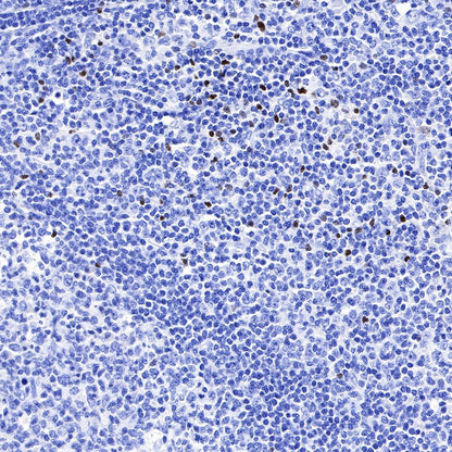
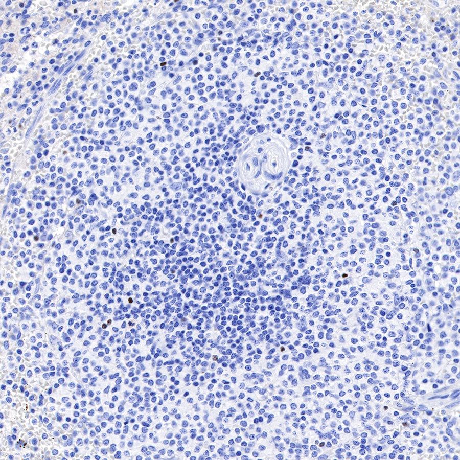
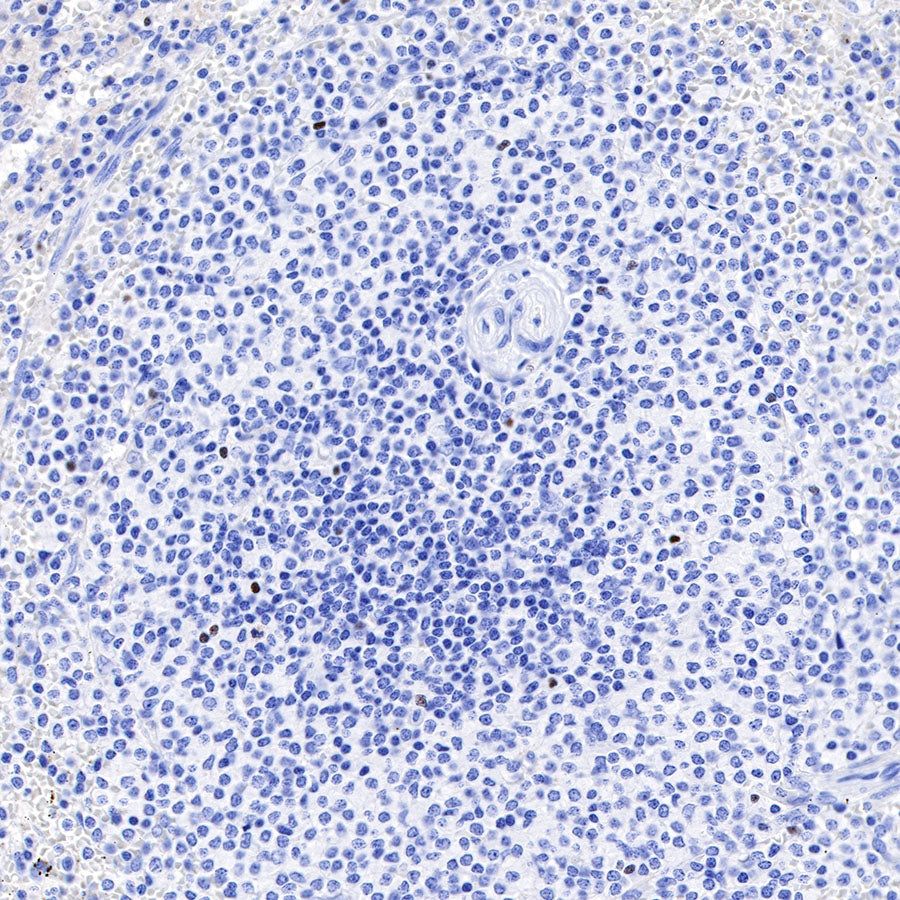
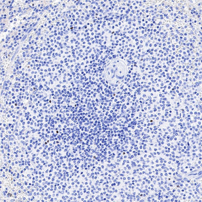
IHC shows positive staining in paraffin-embedded human tonsil. Anti-FOXP3 antibody was used at 1/250 dilution, followed by a HRP Polymer for Mouse & Rabbit IgG (ready to use). Counterstained with hematoxylin. Heat mediated antigen retrieval with Tris/EDTA buffer pH9.0 was performed before commencing with IHC staining protocol.
Product Details
Product Details
Product Specification
| Host | Rabbit |
| Antigen | FOXP3 |
| Synonyms | Forkhead box prote 1, Forkhead box protein P3, Scurfin |
| Immunogen | N/A |
| Location | Nucleus |
| Accession | Q9BZS1 |
| Clone Number | SDT-R064 |
| Antibody Type | Recombinant mAb |
| Application | IHC-P |
| Reactivity | Hu |
| Purification | Protein A |
| Concentration | 0.5 mg/ml |
| Tag | N/A |
| Physical Appearance | Liquid |
| Storage Buffer | PBS, 40% Glycerol, 0.05% BSA, 0.03% Proclin 300 |
| Stability & Storage | 12 months from date of receipt / reconstitution, -20 °C as supplied |
Dilution
| application | dilution | species |
| IHC-P | 1:250 | null |
Background
FOXP3 is a transcription factor, which belongs to the family of FOX protein. FOXP3 was initially discovered in regulatory T cells and supposed to play a significant role in the process of regulatory T cell differentiation. Increasing evidence has shown that FOXP3 is also expressed in tumor cells. In some types of human cancers, the expression of FOXP3 is upregulated, and it can promote the development of cancers, leading to a poor prognosis [PMID: 30630091].
Picture
Picture
Immunohistochemistry


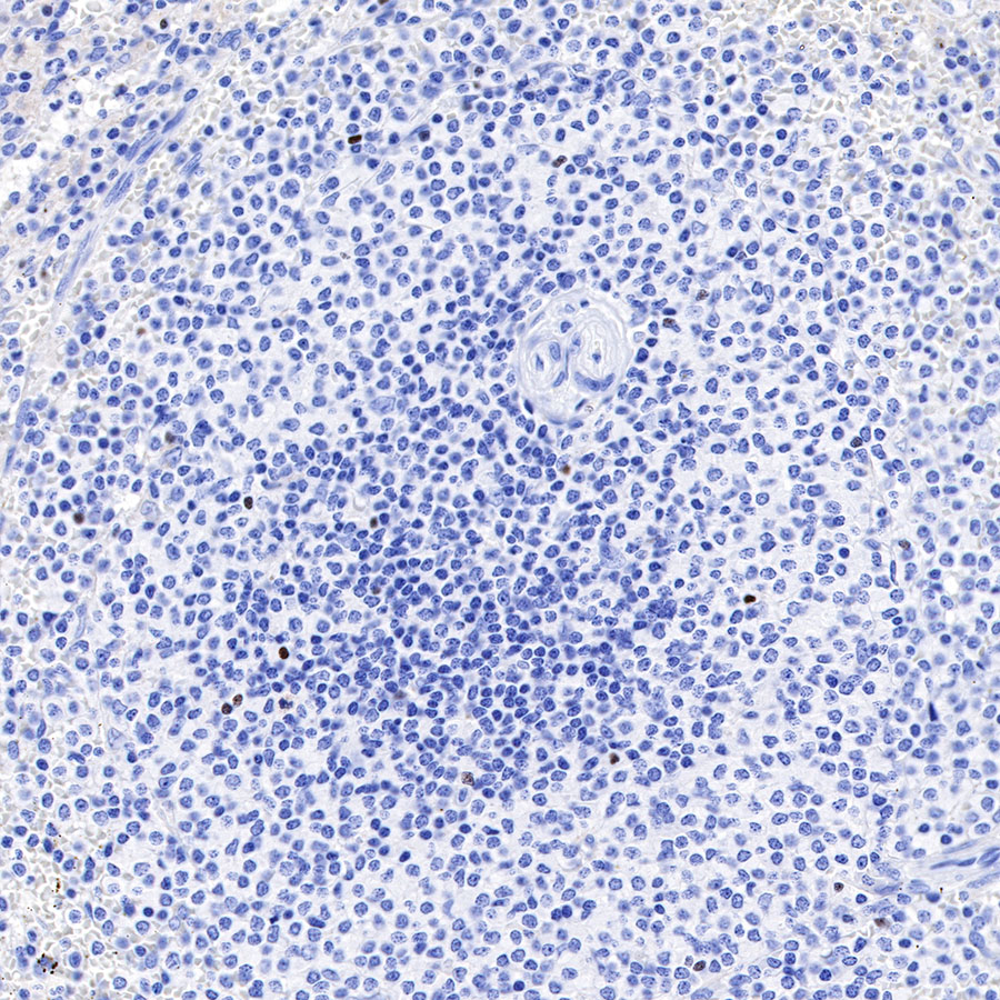
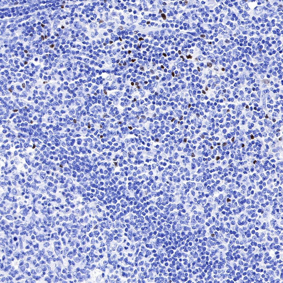
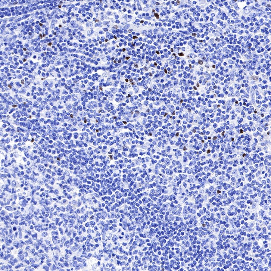
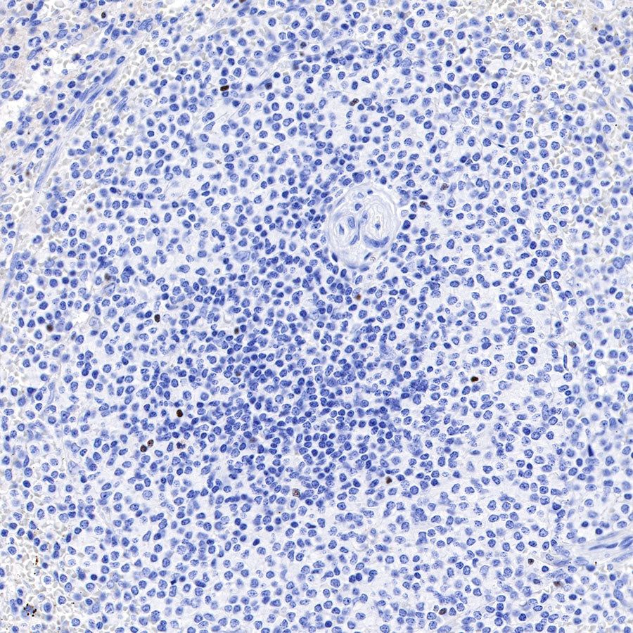
IHC shows positive staining in paraffin-embedded human spleen. Anti-FOXP3 antibody was used at 1/250 dilution, followed by a HRP Polymer for Mouse & Rabbit IgG (ready to use). Counterstained with hematoxylin. Heat mediated antigen retrieval with Tris/EDTA buffer pH9.0 was performed before commencing with IHC staining protocol.

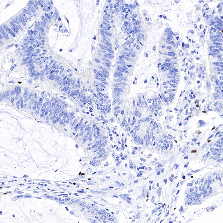
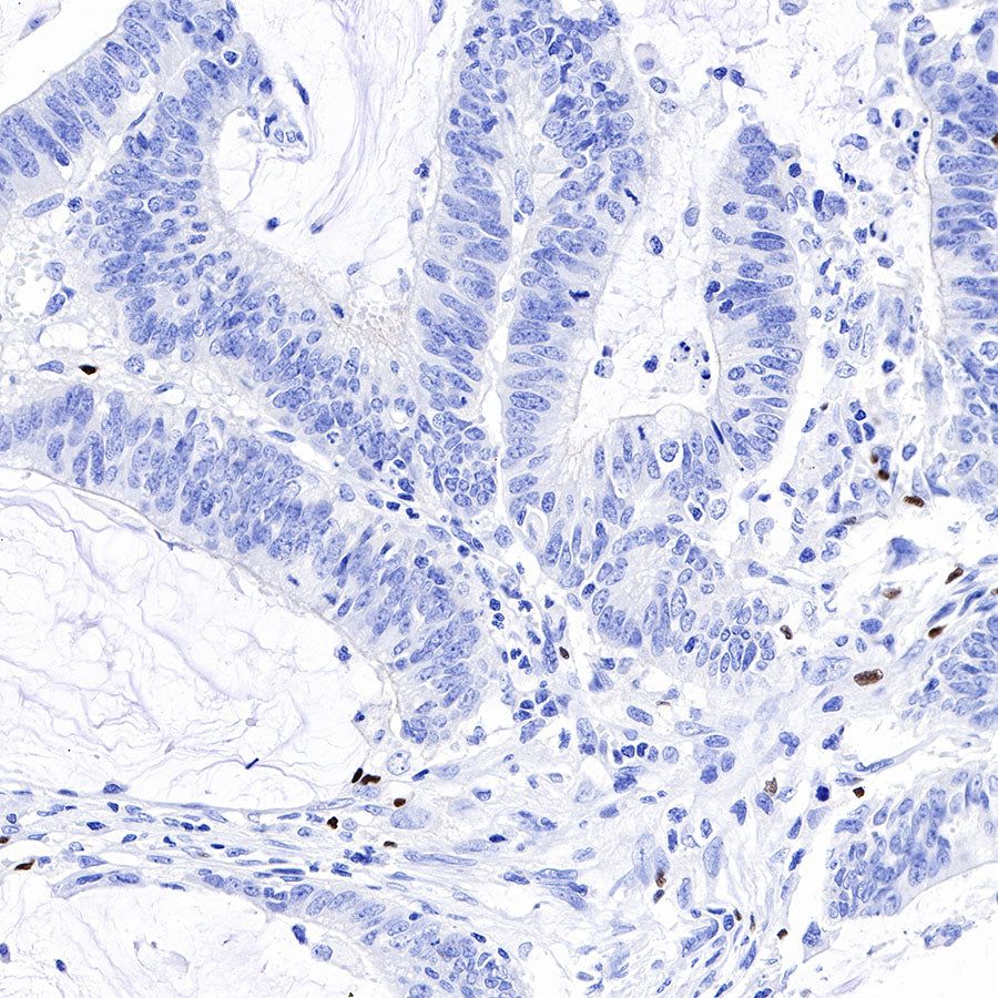
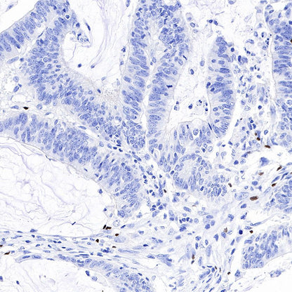
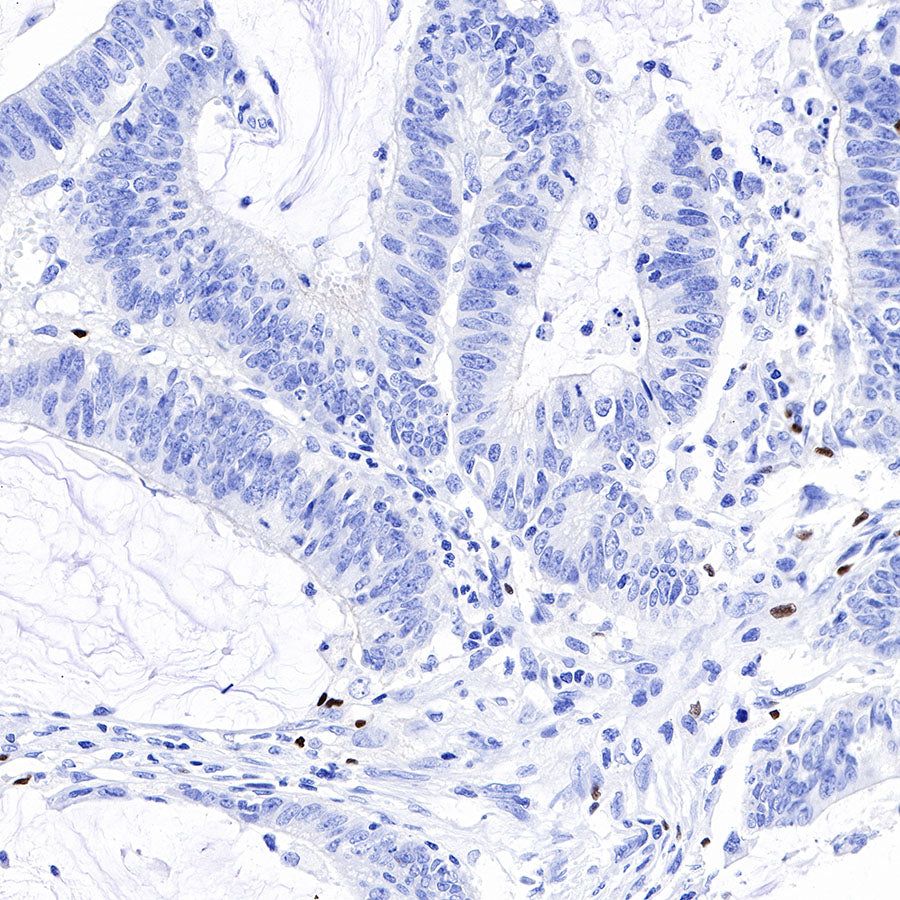
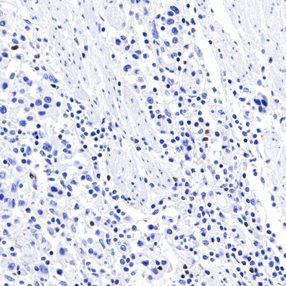
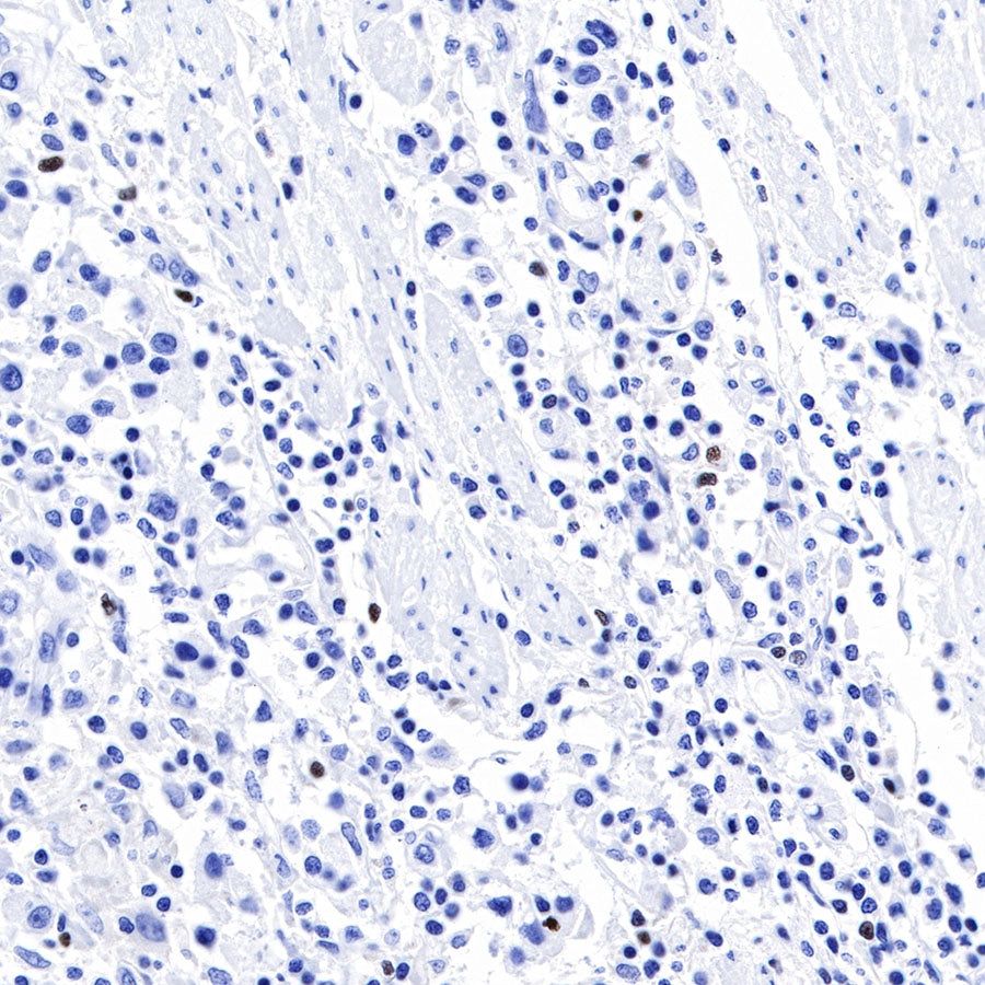
IHC shows positive staining in paraffin-embedded human colon cancer. Anti-FOXP3 antibody was used at 1/250 dilution, followed by a HRP Polymer for Mouse & Rabbit IgG (ready to use). Counterstained with hematoxylin. Heat mediated antigen retrieval with Tris/EDTA buffer pH9.0 was performed before commencing with IHC staining protocol.

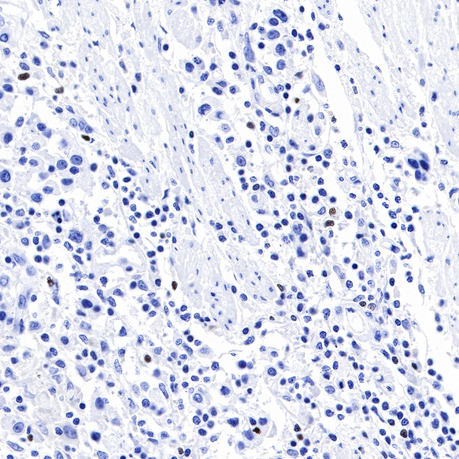
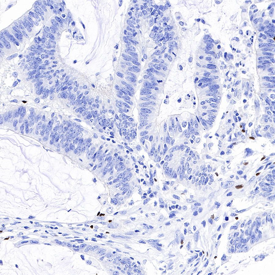
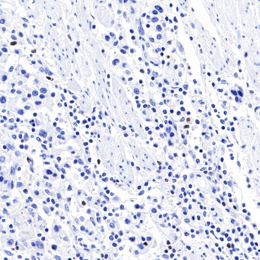
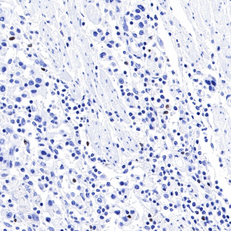
IHC shows positive staining in paraffin-embedded human gastric cancer. Anti-FOXP3 antibody was used at 1/250 dilution, followed by a HRP Polymer for Mouse & Rabbit IgG (ready to use). Counterstained with hematoxylin. Heat mediated antigen retrieval with Tris/EDTA buffer pH9.0 was performed before commencing with IHC staining protocol.
