Skip to product information
1 of 3

Endo H

Endo H

Catalog Number: UA070040 Reactivity: Other Conjugation: Unconjugated Brand: UA BIOSCIENCE
Price:
Regular price $91.00 SGD
Regular price Sale price $91.00 SGD
Size:
For shipping services or bulk orders, you may request a quotation.
Secure checkout with
View full details

Product Details

Product Specification


Species Streptomyces picatus
Synonyms Endo-beta-N-acetylglucosaminidase H, Endoglycosidase H, Endo H
Expression System E.coli
Molecular Weight

30kD (Reducing)

Conjugation Unconjugated
Tag His Tag
Physical Appearance Liquid
Storage Buffer 20 mM Tris-HCl、50 mM NaCl、5 mM EDTA(pH 7.5 @ 25°C)
Stability & Storage

Store at -25 ~ -15℃ for 2 years

Reference

[1] Wang F , Wang X , Yu X ,et al. High-Level Expression of Endo-β-N-Acetylglucosaminidase H from Streptomyces plicatus in Pichia pastoris and Its Application for the Deglycosylation of Glycoproteins[J].Plos One, 2015, 10.

[2] Maley F, Trimble R B, Tarentino A L,et al. Characterization of glycoproteins and their associated oligosaccharides through the use of endoglycosidases.[J]. Analytical Biochemistry,1989,180(2):195-204.

Background

Endo H is a recombinant glycosidase cloned from Streptomyces plicatus and overexpressed in E.coli. It cleaves the chitobiose core of high-mannose oligosaccharides and a limited number of hybrid oligosaccharides from asparagine-linked glycoproteins, but not complex, oligosaccharides from glycoproteins.

Components

Storage Solution: 500U/μL EndoH、20 mM Tris-HCl、50 mM NaCl、5 mM EDTA (pH 7.5@ 25°C)

10*Denaturing Buffer: 5% SDS、400 mM DTT

10*Reaction Buffer: 500 mM sodium acetate(pH 6 @ 25°C)

Protocol

1. Combine 1-20 μg of glycoprotein, 1 μl of 10*Denaturing Buffer and H20 (if necessary) to make a 10 μl total reaction volume.

2. Denature glycoprotein by heating raection at 100°C for 10 minutes.

3. Make a total reaction volume of 20 μl by adding 2 μl of 10*Reaction Buffer, H20 and 1-5 μl Endo H.

4. Incubate reaction at 37°C for 1 hour.

Guidelines

Please avoid repeated freeze-thaw cycles.

Unit Definition

One unit is defined as the amount of enzyme required to remove > 95% of the carbohydrate from 10µg of denatured RNase B in 1 hour at 37°C in a total reaction volume of 10µl.

Picture

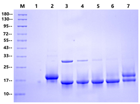
Bioactivity

In the experimental design, 125 U, 25 U, 5 U, 1 U and 0.2 U enzymes were added to the 20 ul reaction system to investigate the effect of Endo H enzyme on the enzymatic digestion of substrate RNase B.

M marker

Lan1 blank

Lan2 Rnase B 10μg

Lan3 Rnase B 10μg +125U Endo H

Lan4 Rnase B 10μg+ 25U Endo H

Lan5 Rnase B 10μg+ 5U Endo H

Lan6 Rnase B 10μg+ 1U Endo H

Lan7 Rnase B 10μg+ 0.2U Endo H

SDS-PAGE

2μg (R: reducing condition, N: non-reducing condition).

SEC-HPLC