OneStep polymer HRP Goat anti-Rabbit and Mouse IgG (H+L) (specific for IHC)

OneStep polymer HRP Goat anti-Rabbit and Mouse IgG (H+L) (specific for IHC)

Catalog Number: S0B4003 Application: IHC-P Reactivity: Mouse,Rabbit Conjugation: HRP Brand: Starter
Price:
Regular price $120 USD
Regular price Sale price $120 USD
Size:
For shipping services or bulk orders, you may request a quotation.
Secure checkout with
View full details

Product Details

Product Specification


Host Goat
Antigen Rabbit and Mouse IgG (H+L)
Immunogen N/A
Clone Number N/A
Antibody Type Goat pAb
Application IHC-P
Reactivity Ms, Rb
Purification N/A
Conjugation HRP
Physical Appearance Liquid
Storage Buffer PBS, PH7.4, 0.2 µm filtered.
Stability & Storage 12 months from date of receipt / reconstitution, 2 to 8 °C as supplied.

Dilution


application dilution species
IHC-P N/A

Background

OneStep polymer HRP Goat anti-Rabbit and Mouse IgG (H+L) (specific for IHC) utilized the newest biotin-free polymerization technology to prepare super sensitive polymeric peroxidase linked conjugates. It utilizes a novel controlled and compact enzyme polymerization technology to achieve higher sensitivity without background. It provides on step detection protocol, superior sensitivity and specificity, short incubation time and faster turnaround.
Prior to staining the formalin-fixed paraffin tissue sections should be deparaffinized and hydrated following heat-induced epitope retrieval or enzyme pretreatment. Endogenous peroxidase should be blocked. Then add primary antibody and incubate at optimal titration and condition. After that add OneStep polymer HRP Goat anti-Rabbit and Mouse IgG (H+L) (specific for IHC) and incubate for 10-15 minutes. Polymer HRP will catalyze DAB to form visible brown deposit at the antigen site. When color development achieved satisfactory level, the slides are washed in water to stop reaction. The stained slides may be mounted with either aqueous mounting or organic mounting medium.

Picture

Immunohistochemistry

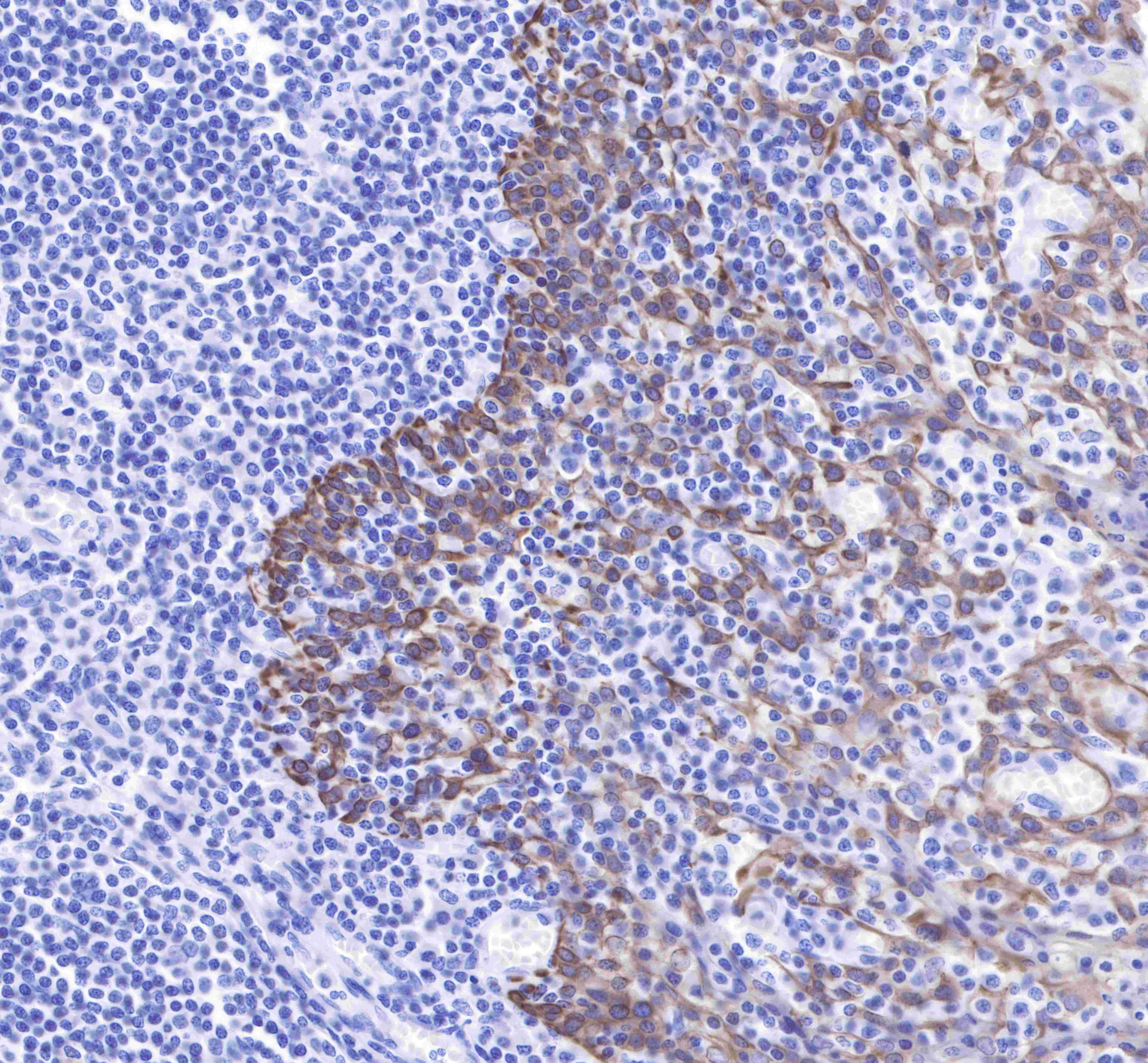
IHC shows positive staining in paraffin-embedded human tonsil.

Anti-Keratin 5 antibody (S0B2033) was used at 1/4000 dilution, followed by a Goat Anti-Rabbit IgG H&L (HRP) ready to use.

Counterstained with hematoxylin.

Heat mediated antigen retrieval with Tris/EDTA buffer pH9.0 was performed before commencing with IHC staining protocol.

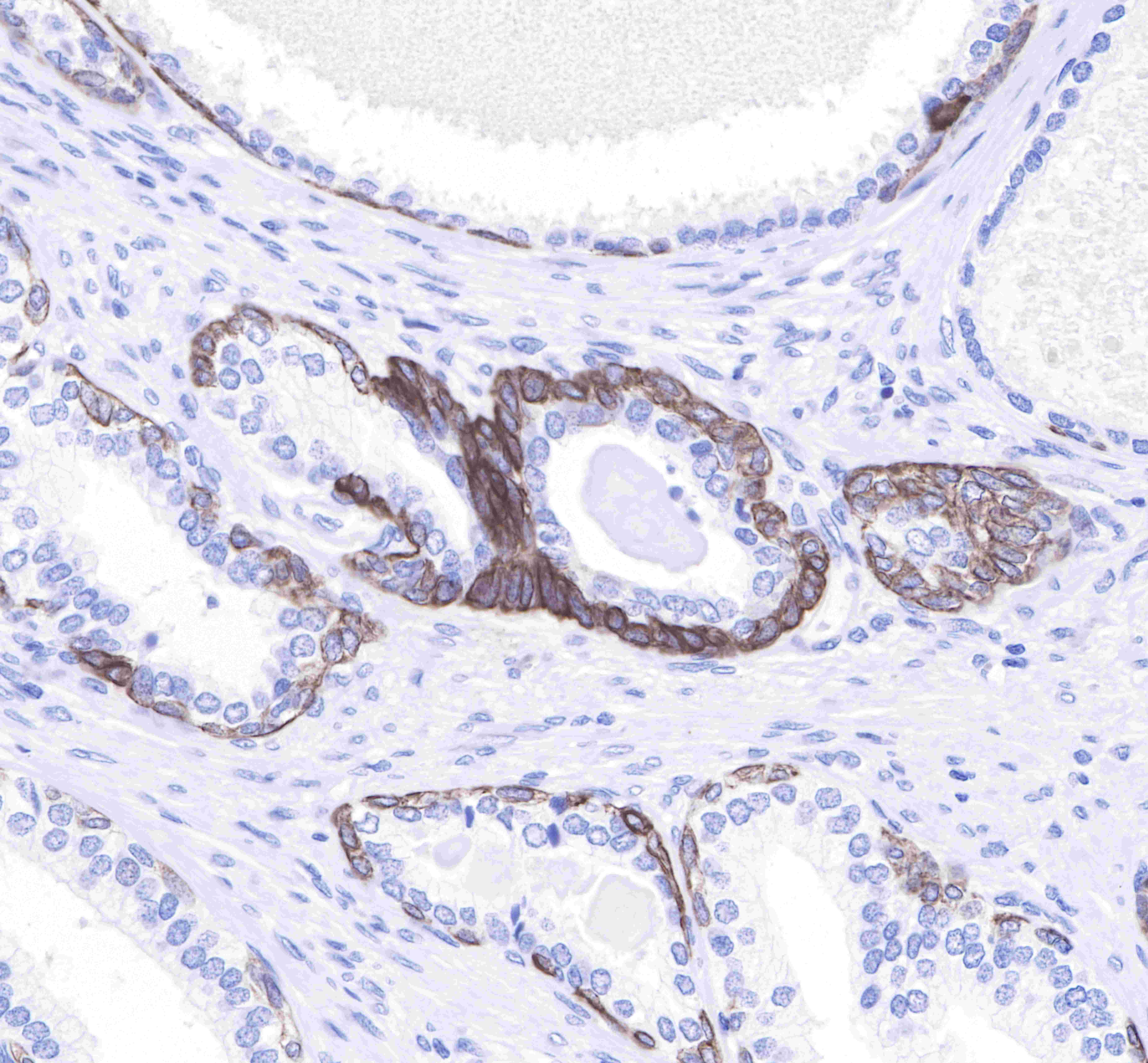
IHC shows positive staining in paraffin-embedded human prostate.

Anti-Keratin 5 antibody (S0B2033) was used at 1/4000 dilution, followed by a Goat Anti-Rabbit IgG H&L (HRP) ready to use.

Counterstained with hematoxylin.

Heat mediated antigen retrieval with Tris/EDTA buffer pH9.0 was performed before commencing with IHC staining protocol.

Customer Reviews

Be the first to write a review
0%
(0)
0%
(0)
0%
(0)
0%
(0)
0%
(0)