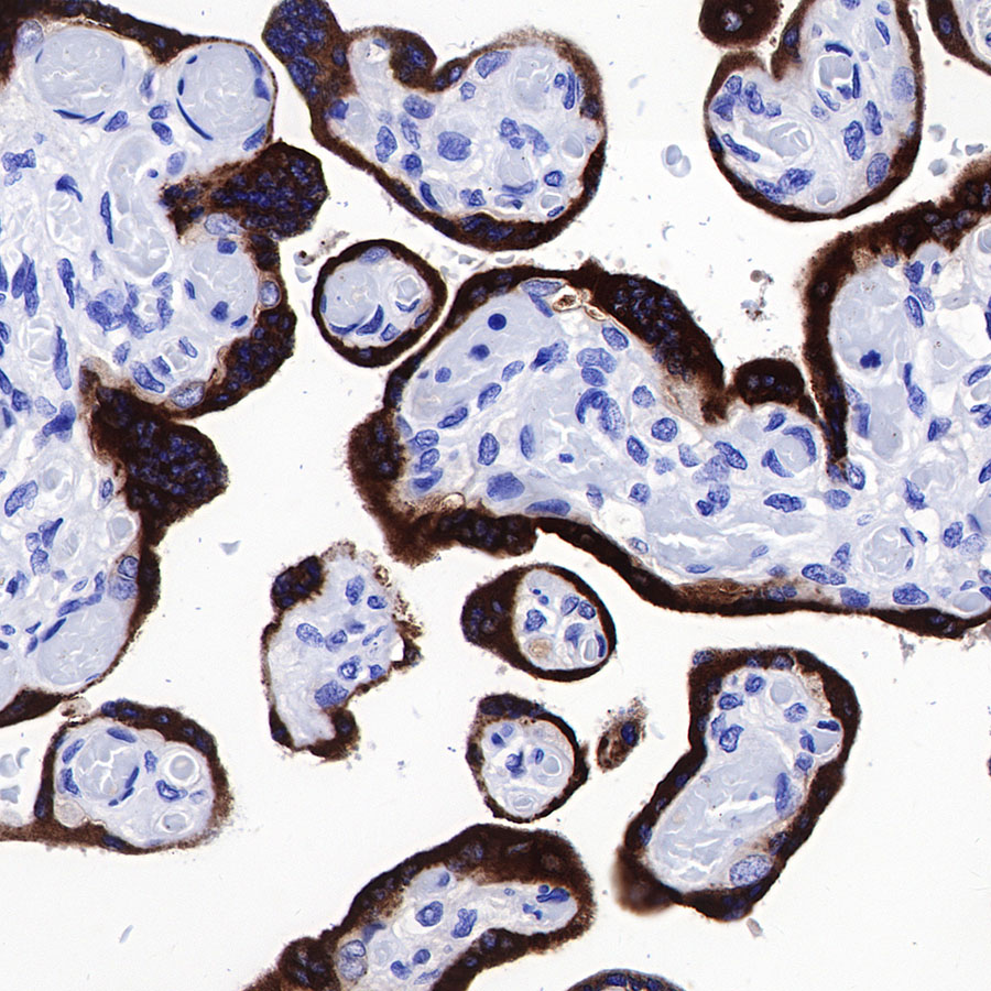
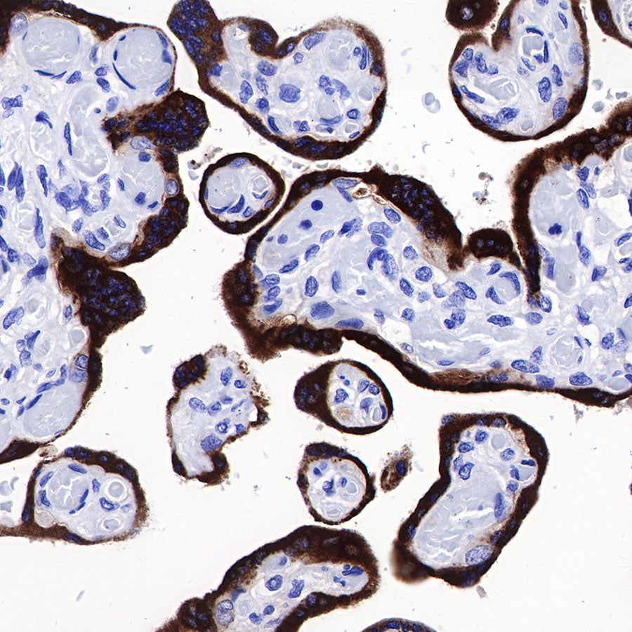
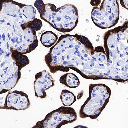
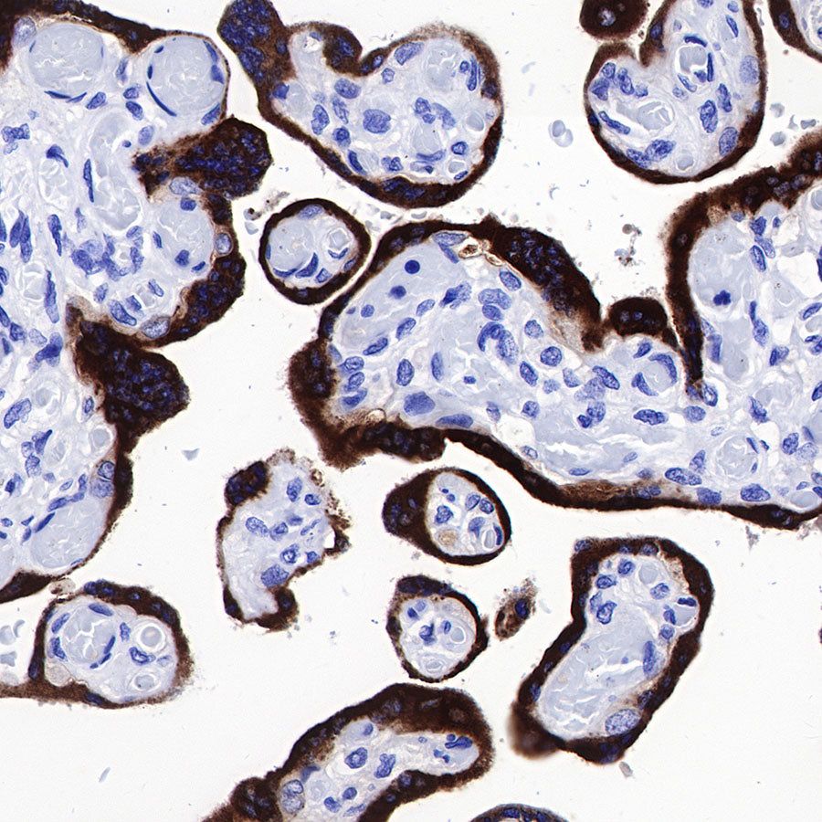
IHC shows positive staining in paraffin-embedded human placenta. Anti-CGB/HCG-β antibody was used at 1/1000 dilution, followed by a HRP Polymer for Mouse & Rabbit IgG (ready to use). Counterstained with hematoxylin. Heat mediated antigen retrieval with Tris/EDTA buffer pH9.0 was performed before commencing with IHC staining protocol.
Product Details
Product Details
Product Specification
Host | Rabbit |
Antigen | CGB/HCG-β |
Synonyms | HCG-beta |
Immunogen | Recombinant Protein |
Location | Secreted |
Accession | P0DN86 |
Clone Number | SDT-228-46 |
Antibody Type | Recombinant mAb |
Application | IHC-P |
Reactivity | Hu |
Purification | Protein A |
Concentration | 0.25 mg/ml |
Conjugation | Unconjugated |
Physical Appearance | Liquid |
Storage Buffer | PBS, 40% Glycerol, 0.05% BSA, 0.03% Proclin 300 |
Stability & Storage | 12 months from date of receipt / reconstitution, -20 °C as supplied |
Dilution
application | dilution | species |
IHC-P | 1:1000 | null |
Background
Human chorionic gonadotropin (HCG) is a glycoprotein hormone consisting of two noncovalently bonded subunits, alpha and beta [PMID: 68892], and is normally synthesized by placental trophoblasts during pregnancy. β-HCG is a specific marker for trophoblastic tumors of placenta and gestational tumors. Ectopic expression of β-HCG was found in 20-40% of all common epithelial carcinoma, especially for tumors of the stomach, ovary, liver and lung [PMID: 23017787].
Picture
Picture
Immunohistochemistry


Negative control: IHC shows negative staining in paraffin-embedded human cerebral cortex. Anti-CGB/HCG-β antibody was used at 1/1000 dilution, followed by a HRP Polymer for Mouse & Rabbit IgG (ready to use). Counterstained with hematoxylin. Heat mediated antigen retrieval with Tris/EDTA buffer pH9.0 was performed before commencing with IHC staining protocol.

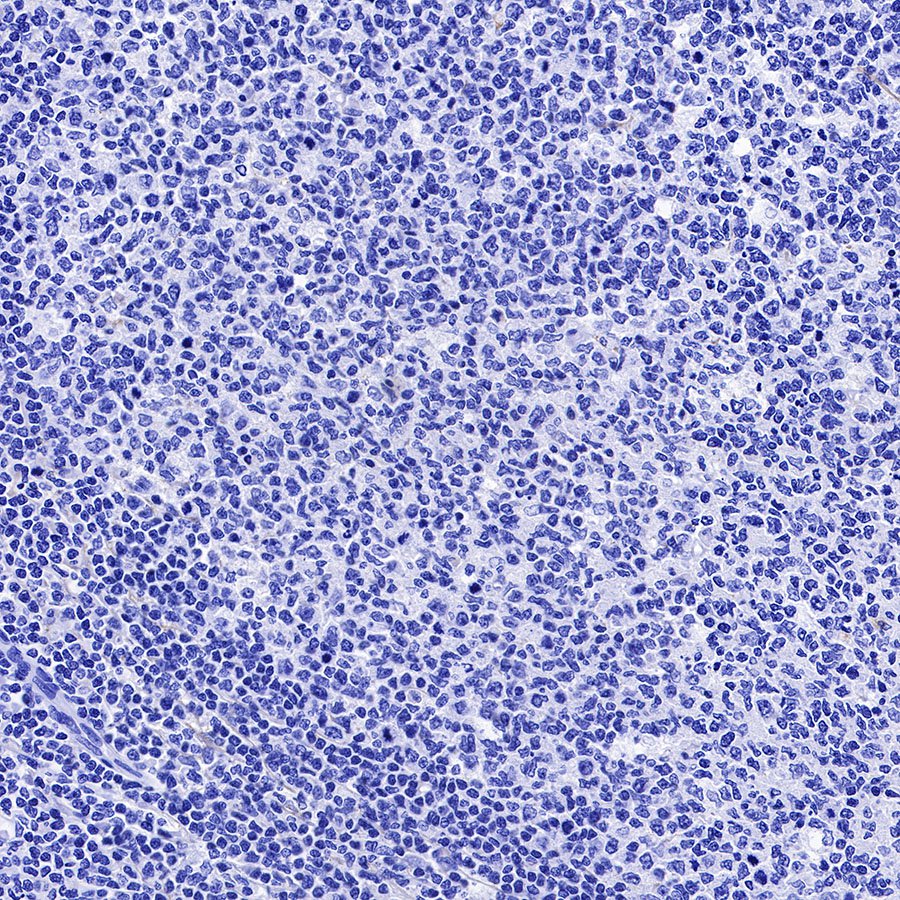
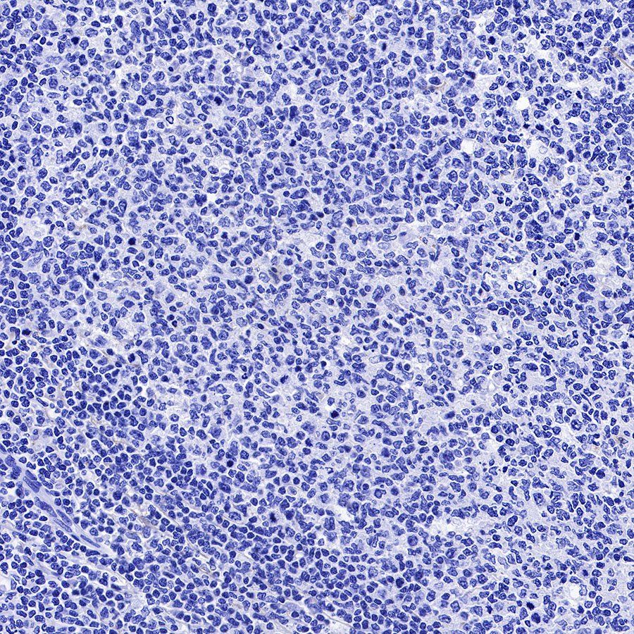
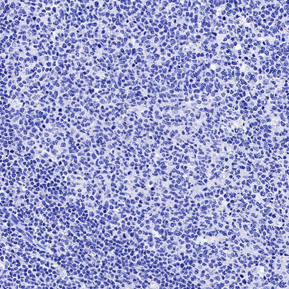
Negative control: IHC shows negative staining in paraffin-embedded human tonsil. Anti-CGB/HCG-β antibody was used at 1/1000 dilution, followed by a HRP Polymer for Mouse & Rabbit IgG (ready to use). Counterstained with hematoxylin. Heat mediated antigen retrieval with Tris/EDTA buffer pH9.0 was performed before commencing with IHC staining protocol.

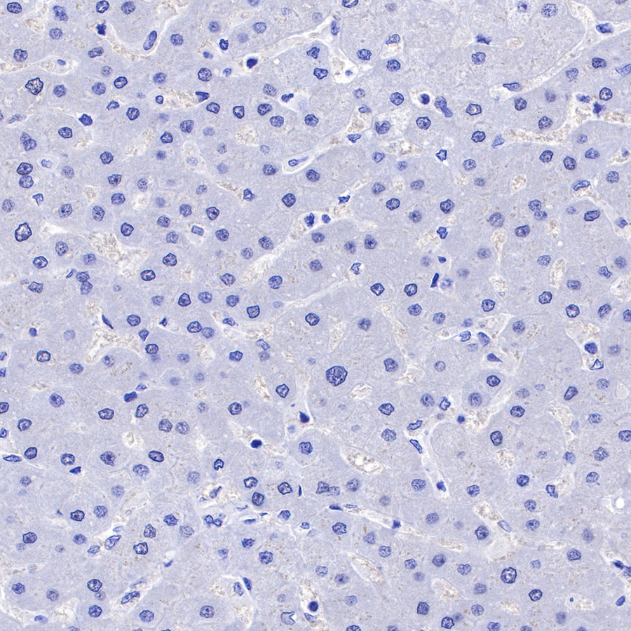
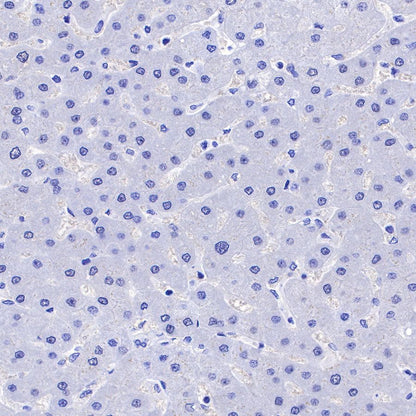
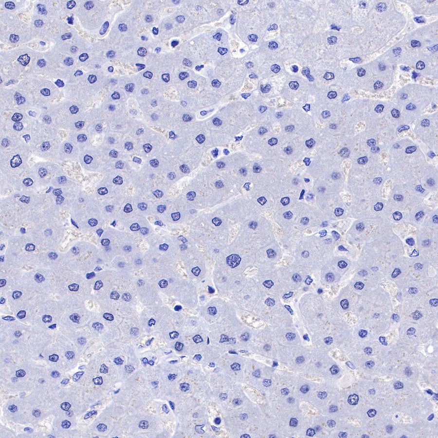
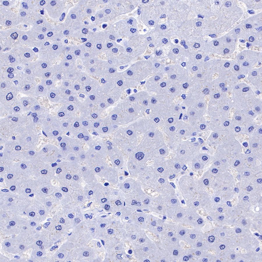
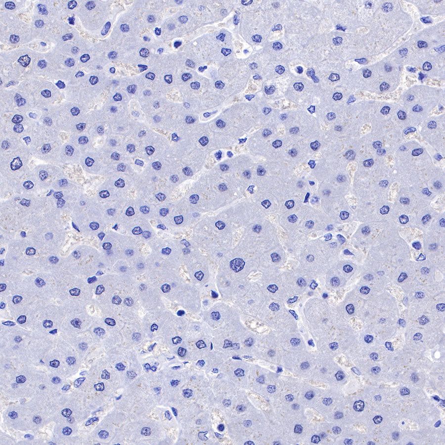
Negative control: IHC shows negative staining in paraffin-embedded human liver. Anti-CGB/HCG-β antibody was used at 1/1000 dilution, followed by a HRP Polymer for Mouse & Rabbit IgG (ready to use). Counterstained with hematoxylin. Heat mediated antigen retrieval with Tris/EDTA buffer pH9.0 was performed before commencing with IHC staining protocol.



