Product Specification
Host |
Mouse |
Antigen |
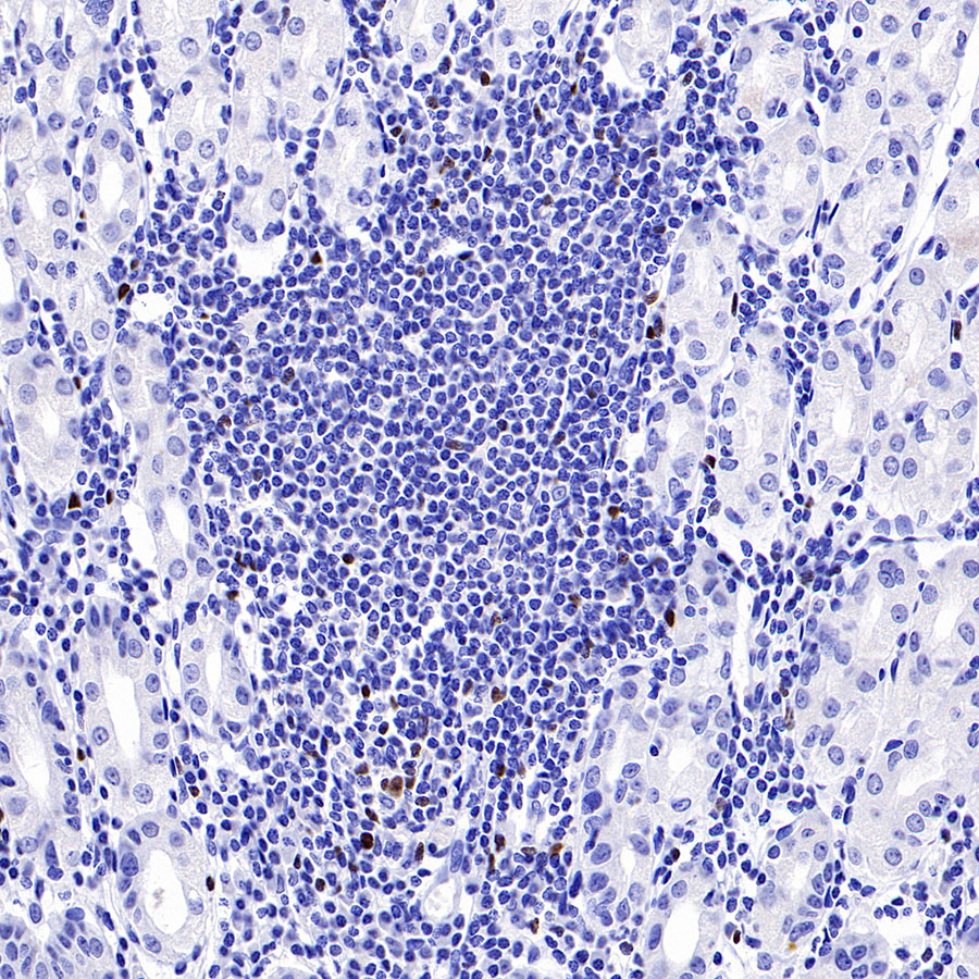
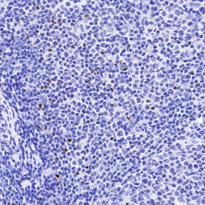
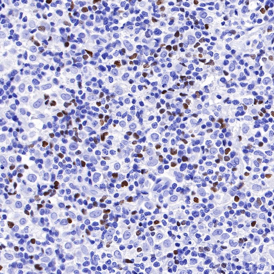
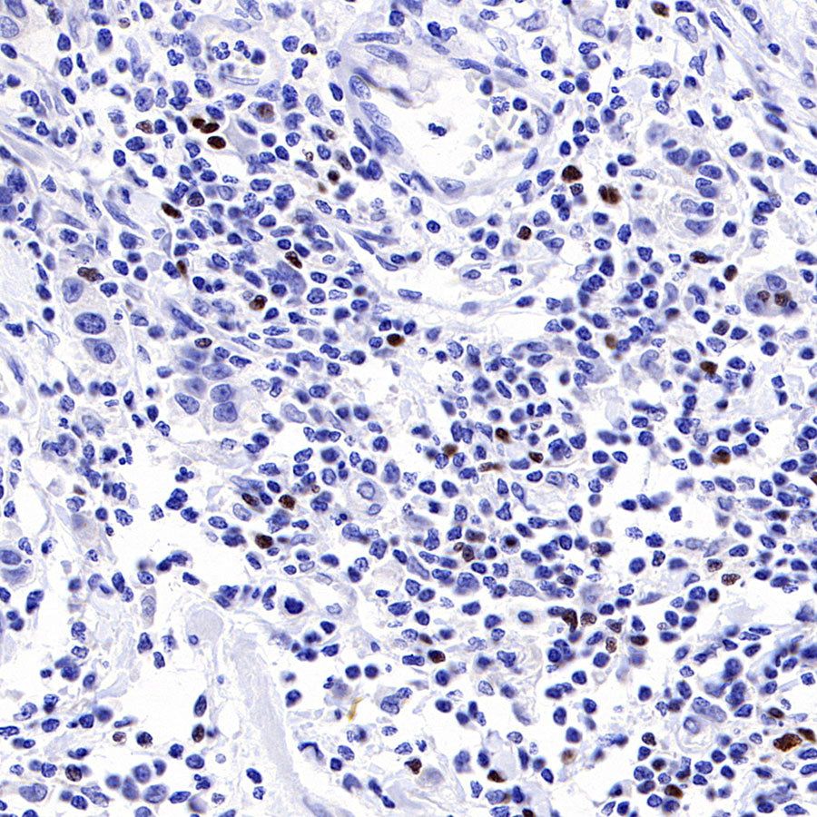
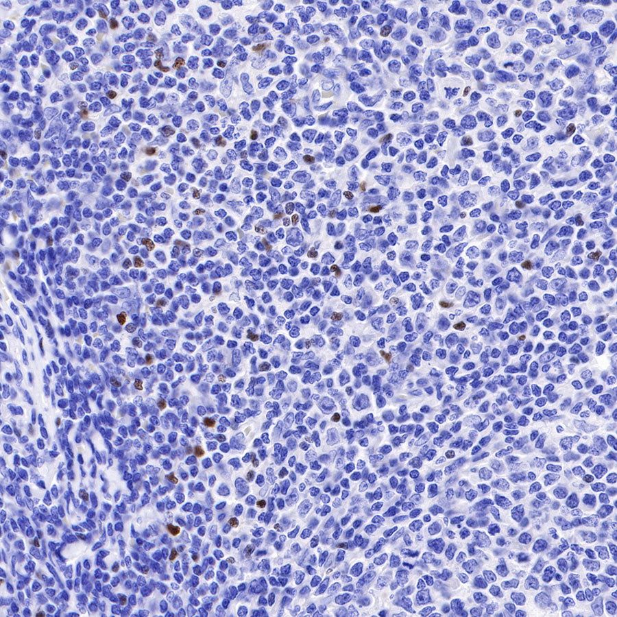
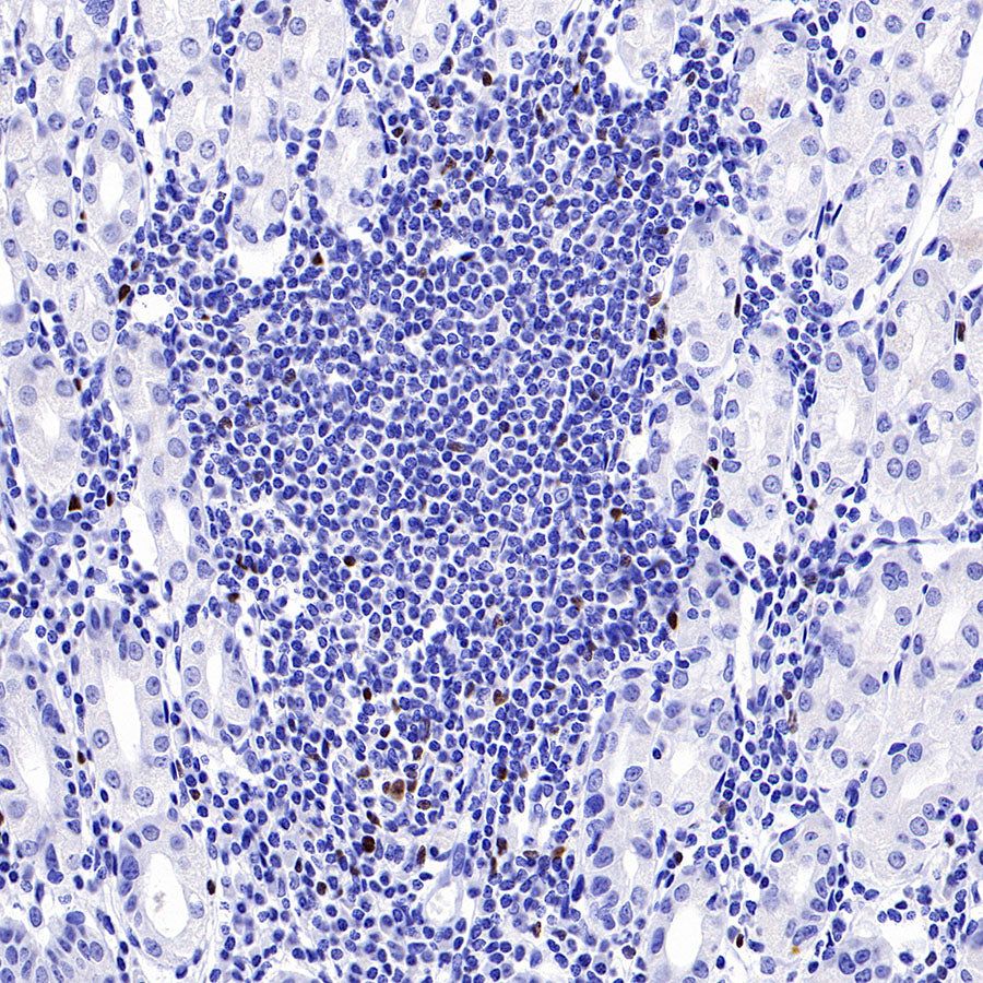
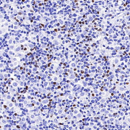
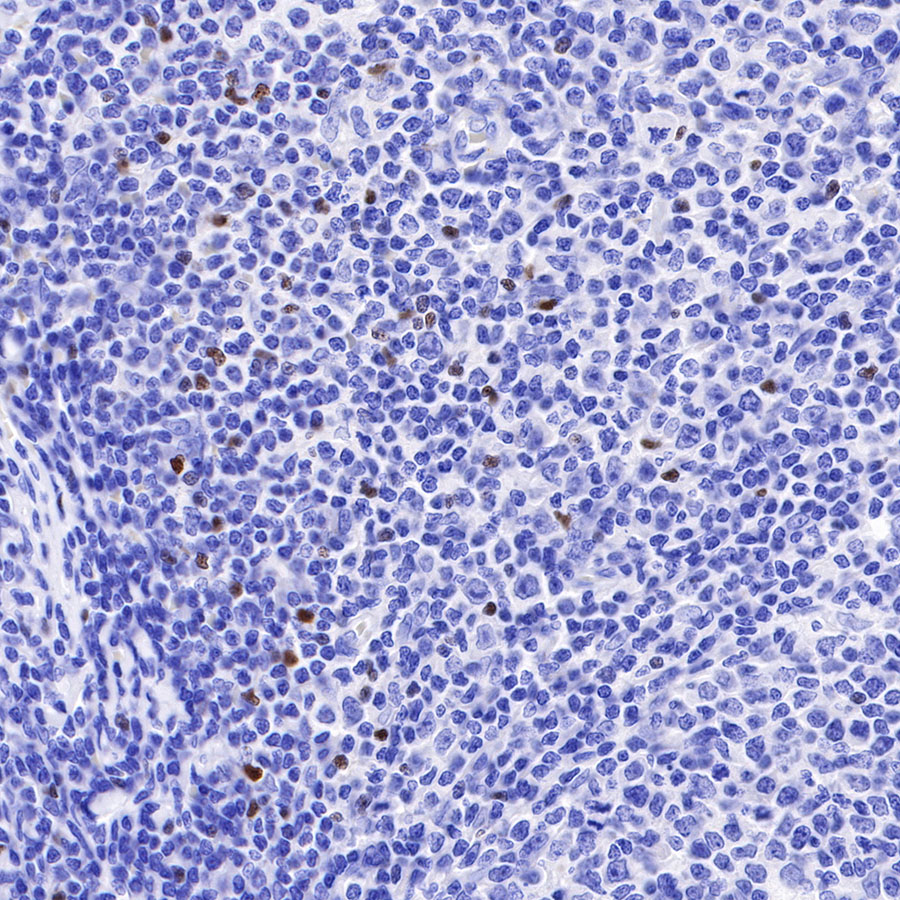
FOXP3 |
Synonyms |
Forkhead box prote 1, Forkhead box protein P3, Scurfin |
Immunogen |
N/A |
Location |
Nucleus |
Accession |
Q9BZS1 |
Clone Number |
SDT-R149 |
Antibody Type |
Recombinant mAb |
Isotype |
IgG1 |
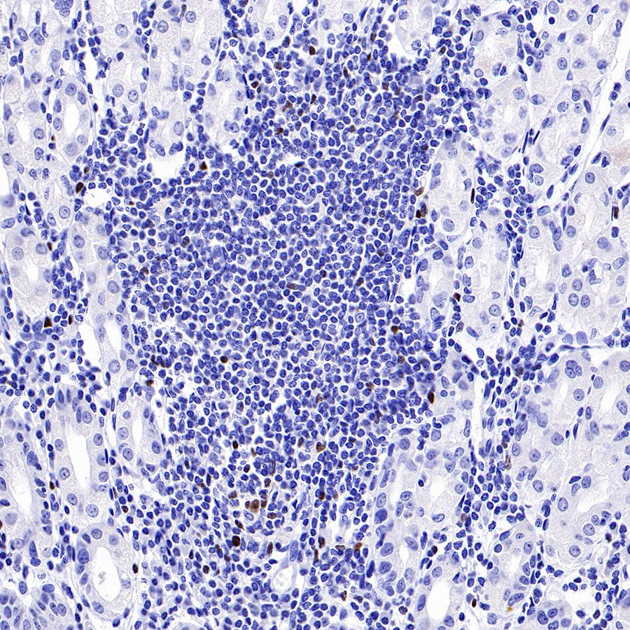
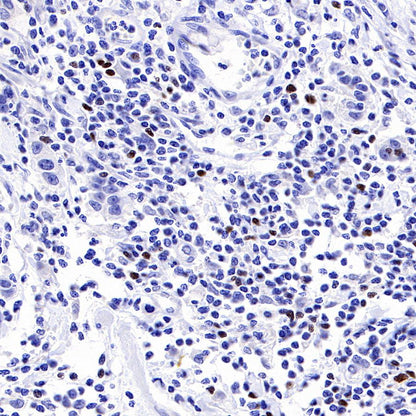
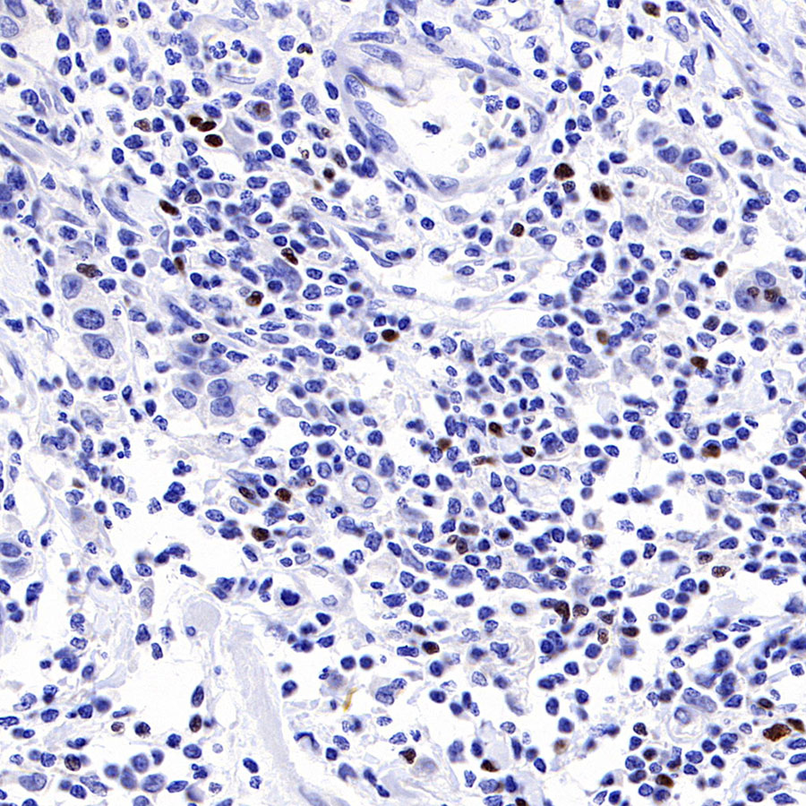
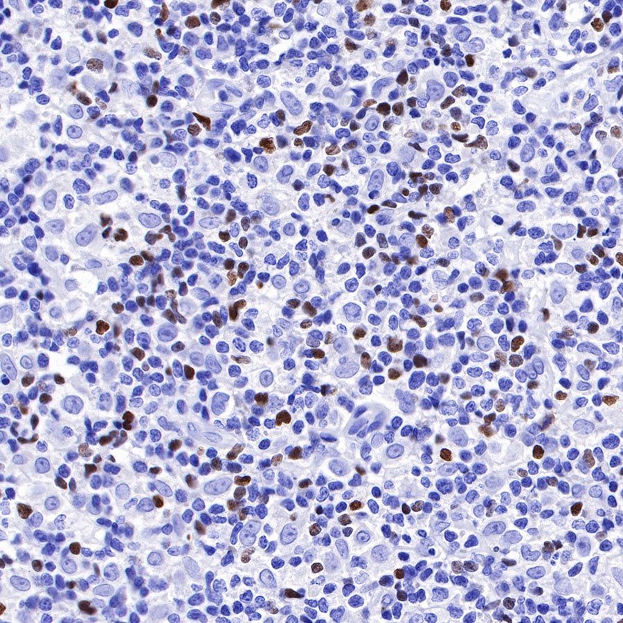
Application |
WB, IHC-P |
Reactivity |
Hu |
Purification |
Protein G |
Concentration |
2 mg/ml |
Tag |
N/A |
Physical Appearance |
Liquid |
Storage Buffer |
PBS, 40% Glycerol, 0.05% BSA, 0.03% Proclin 300 |
Stability & Storage |
12 months from date of receipt / reconstitution, -20 °C as supplied |
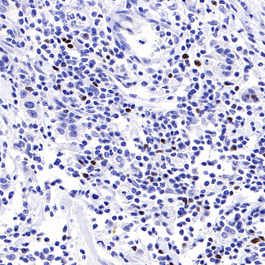
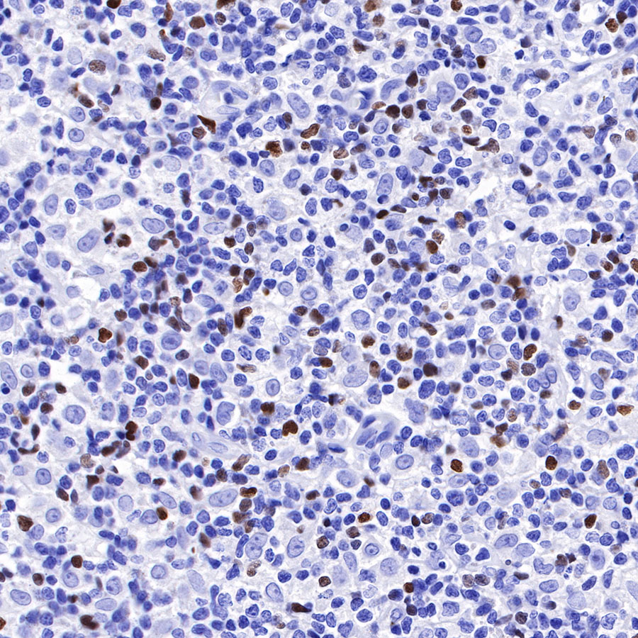
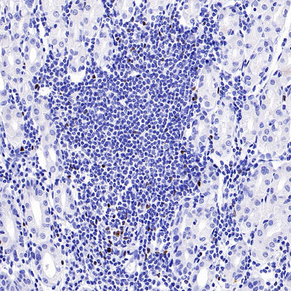
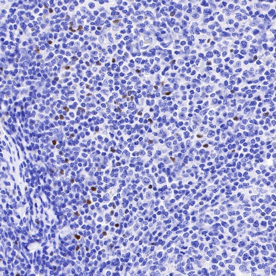
Dilution
application |
dilution |
species |
WB |
1:1000 |
|
IHC-P |
1:500 |
|
Background
FOXP3 is a transcription factor, which belongs to the family of FOX protein. FOXP3 was initially discovered in regulatory T cells and supposed to play a significant role in the process of regulatory T cell differentiation. Increasing evidence has shown that FOXP3 is also expressed in tumor cells. In some types of human cancers, the expression of FOXP3 is upregulated, and it can promote the development of cancers, leading to a poor prognosis [PMID: 30630091].