Skip to product information
1 of 6

S-RMab® c-Met Recombinant Rabbit mAb (SDT-009-7H0L0)

S-RMab® c-Met Recombinant Rabbit mAb (SDT-009-7H0L0)

Catalog Number: S0B2052 Application: WB,IHC-P Reactivity: Human Conjugation: Unconjugated Brand: Starter
Price:
Regular price $155.00 SGD
Regular price Sale price $155.00 SGD
Size:
For shipping services or bulk orders, you may request a quotation.
Secure checkout with
View full details

Product Details

Product Specification


Host Rabbit
Antigen c-Met
Synonyms HGF/SF receptor, Proto-oncogene c-Met, Scatter factor receptor (SF receptor), Tyrosine-protein kinase Met
Immunogen Synthetic Peptide
Location Cytoplasm, Membrane
Accession P08581
Clone Number SDT-009-7H0L0
Antibody Type Rabbit mAb
Isotype IgG
Application WB, IHC-P
Reactivity Hu
Purification Protein A
Concentration 2mg/ml
Molecular Weight

140kDa,170kDa

Conjugation Unconjugated
Physical Appearance Liquid
Storage Buffer PBS, 40% Glycerol, 0.05%BSA, 0.03% Proclin 300
Stability & Storage

12 months from date of receipt / reconstitution, -20 °C as supplied

Dilution


application dilution species
IHC-P 1:300
WB 1:40000

Background

c-Met, also called tyrosine-protein kinase Met or hepatocyte growth factor receptor (HGFR), is a protein that in humans is encoded by the MET gene. The protein possesses tyrosine kinase activity. The primary single chain precursor protein is post-translationally cleaved to produce the alpha and beta subunits, which are disulfide linked to form the mature receptor. MET is a single pass tyrosine kinase receptor essential for embryonic development, organogenesis and wound healing. Hepatocyte growth factor/Scatter Factor (HGF/SF) and its splicing isoform (NK1, NK2) are the only known ligands of the MET receptor. MET is normally expressed by cells of epithelial origin, while expression of HGF/SF is restricted to cells of mesenchymal origin. When HGF/SF binds its cognate receptor MET it induces its dimerization through a not yet completely understood mechanism leading to its activation. Abnormal MET activation in cancer correlates with poor prognosis, where aberrantly active MET triggers tumor growth, formation of new blood vessels (angiogenesis) that supply the tumor with nutrients, and cancer spread to other organs (metastasis). MET is deregulated in many types of human malignancies, including cancers of kidney, liver, stomach, breast, and brain. Normally, only stem cells and progenitor cells express MET, which allows these cells to grow invasively in order to generate new tissues in an embryo or regenerate damaged tissues in an adult. However, cancer stem cells are thought to hijack the ability of normal stem cells to express MET, and thus become the cause of cancer persistence and spread to other sites in the body. Both the overexpression of Met/HGFR, as well as its autocrine activation by co-expression of its hepatocyte growth factor ligand, have been implicated in oncogenesis.

Picture

Western Blot

WB result of c-Met Rabbit mAb                    

Primary antibody: c-Met Rabbit mAb at 1/40000 dilution
Lane 1: Hela lysate 20 µg
Lane 2: HT-29 20 µg

Secondary antibody: Goat Anti-Rabbit IgG, (H+L), HRP conjugated at 1/10000 dilution
Predicted MW: 155 kDa
Observed MW: 155 kDa
Exposure time: 1s

Immunohistochemistry

IHC shows positive staining in paraffin-embedded human colon cancer. Anti-c-Met antibody was used at 1/300 dilution, followed by a Goat Anti-Rabbit IgG H&L (HRP) ready to use. Counterstained with hematoxylin. Heat mediated antigen retrieval with Tris/EDTA buffer pH9.0 was performed before commencing with IHC staining protocol.

IHC shows positive staining in paraffin-embedded human lung squamous cell carcinoma. Anti-c-Met antibody was used at 1/300 dilution, followed by a Goat Anti-Rabbit IgG H&L (HRP) ready to use. Counterstained with hematoxylin. Heat mediated antigen retrieval with Tris/EDTA buffer pH9.0 was performed before commencing with IHC staining protocol.

IHC shows positive staining in paraffin-embedded human lung adenocarcinoma. Anti-c-Met antibody was used at 1/300 dilution, followed by a Goat Anti-Rabbit IgG H&L (HRP) ready to use. Counterstained with hematoxylin. Heat mediated antigen retrieval with Tris/EDTA buffer pH9.0 was performed before commencing with IHC staining protocol.

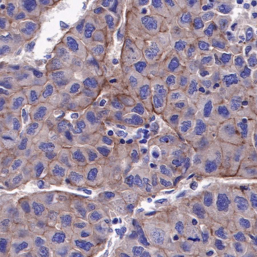
IHC shows positive staining in paraffin-embedded human pancreatic cancer.

Anti-c-Met antibody was used at 1/300 dilution, followed by a Goat Anti-Rabbit IgG H&L (HRP) ready to use.

Counterstained with hematoxylin.

Heat mediated antigen retrieval with Tris/EDTA buffer pH9.0 was performed before commencing with IHC staining protocol.

IHC shows weak staining in paraffin-embedded human ovarian cancer.

Anti-c-Met antibody was used at 1/300 dilution, followed by a Goat Anti-Rabbit IgG H&L (HRP) ready to use.

Counterstained with hematoxylin.

Heat mediated antigen retrieval with Tris/EDTA buffer pH9.0 was performed before commencing with IHC staining protocol.