WB result of N-Cadherin Rabbit mAb
Primary antibody: N-Cadherin Rabbit mAb at 1/1000 dilution
Lane 1: MCF7 whole cell lysate 20 µg
Lane 2: A549 whole cell lysate 20 µg
Lane 3: HeLa whole cell lysate 20 µg
Lane 4: PC-3 whole cell lysate 20 µg
Lane 5: HepG2 whole cell lysate 20 µg
Negative control: MCF7 whole cell lysate
Secondary antibody: Goat Anti-Rabbit IgG, (H+L), HRP conjugated at 1/10000 dilution
Predicted MW: 100kDa
Observed MW: 110~140kDa
Product Details
Product Details
Product Specification
| Host | Rabbit |
| Antigen | N-Cadherin |
| Synonyms | Cadherin-2, CDw325, Neural cadherin, CDH2, CDHN, NCAD |
| Immunogen | Synthetic Peptide |
| Location | Cell membrane |
| Accession | P19022 |
| Clone Number | SDT-329-12 |
| Antibody Type | Recombinant mAb |
| Application | WB, IHC-P |
| Reactivity | Hu, Ms, Rt |
| Predicted Reactivity | Or, Bv, Xe |
| Purification | Protein A |
| Concentration | 0.5 mg/ml |
| Conjugation | Unconjugated |
| Physical Appearance | Liquid |
| Storage Buffer | PBS, 40% Glycerol, 0.05% BSA, 0.03% Proclin 300 |
| Stability & Storage | 12 months from date of receipt / reconstitution, -20 °C as supplied |
Dilution
| application | dilution | species |
| WB | 1:1000 | |
| IHC-P | 1:500 |
Background
The cell adhesion molecule (CAM), N-cadherin, has emerged as an important oncology therapeutic target. N-cadherin is a transmembrane glycoprotein mediating the formation and structural integrity of blood vessels. Its expression has also been documented in numerous types of poorly differentiated tumours [PMID: 25533096].
Picture
Picture
Western Blot


WB result of N-Cadherin Rabbit mAb
Primary antibody: N-Cadherin Rabbit mAb at 1/1000 dilution
Lane 1: mouse brain lysate 20 µg
Lane 2: mouse heart lysate 20 µg
Secondary antibody: Goat Anti-Rabbit IgG, (H+L), HRP conjugated at 1/10000 dilution
Predicted MW: 100kDa
Observed MW: 140kDa

WB result of N-Cadherin Rabbit mAb
Primary antibody: N-Cadherin Rabbit mAb at 1/1000 dilution
Lane 1: rat brain lysate 20 µg
Lane 2: rat heart lysate 20 µg
Secondary antibody: Goat Anti-Rabbit IgG, (H+L), HRP conjugated at 1/10000 dilution
Predicted MW: 100kDa
Observed MW: 110~140kDa
Immunohistochemistry

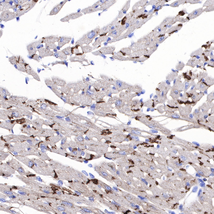
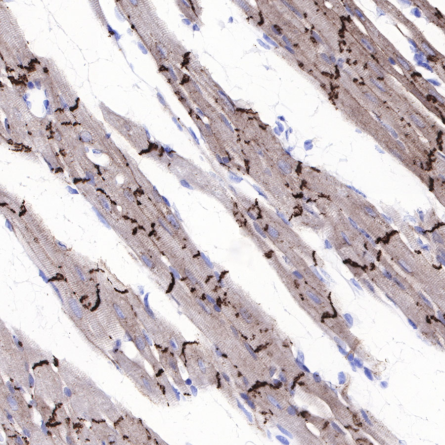
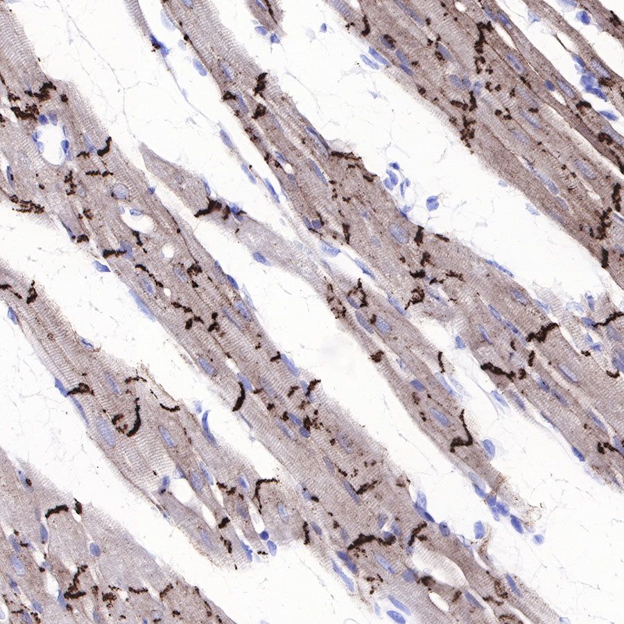
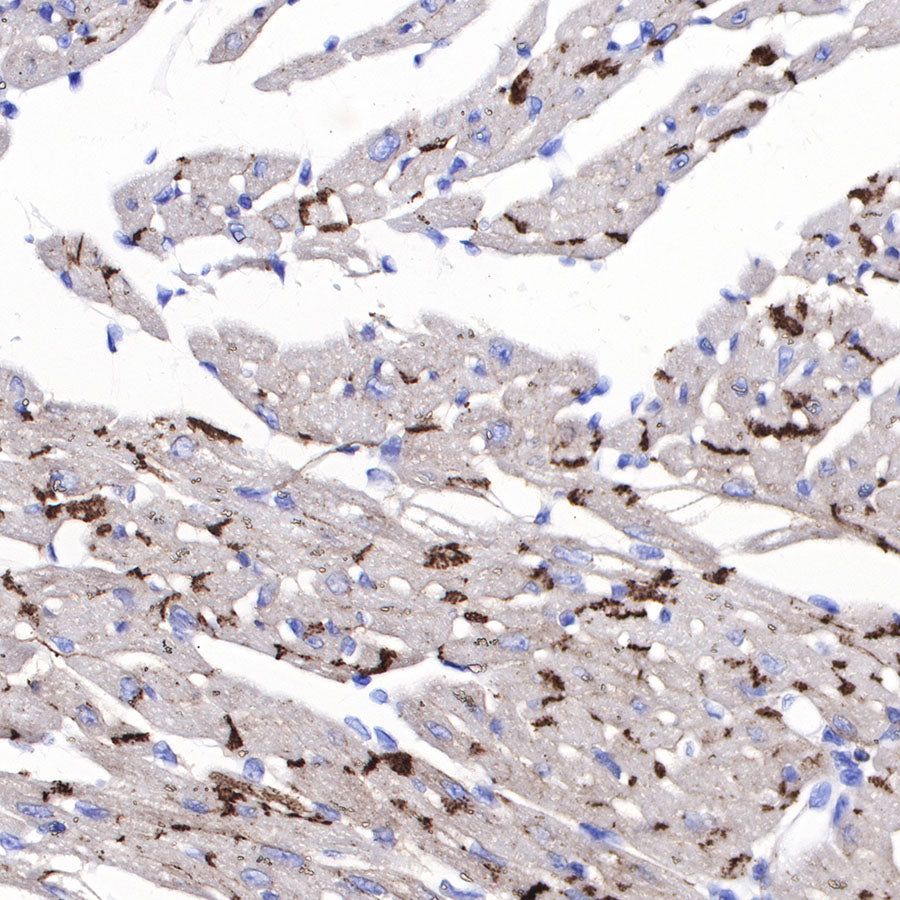
IHC shows positive staining in paraffin-embedded human cardiac muscle. Anti-N-Cadherin antibody was used at 1/500 dilution, followed by a HRP Polymer for Mouse & Rabbit IgG (ready to use). Counterstained with hematoxylin. Heat mediated antigen retrieval with Tris/EDTA buffer pH9.0 was performed before commencing with IHC staining protocol.

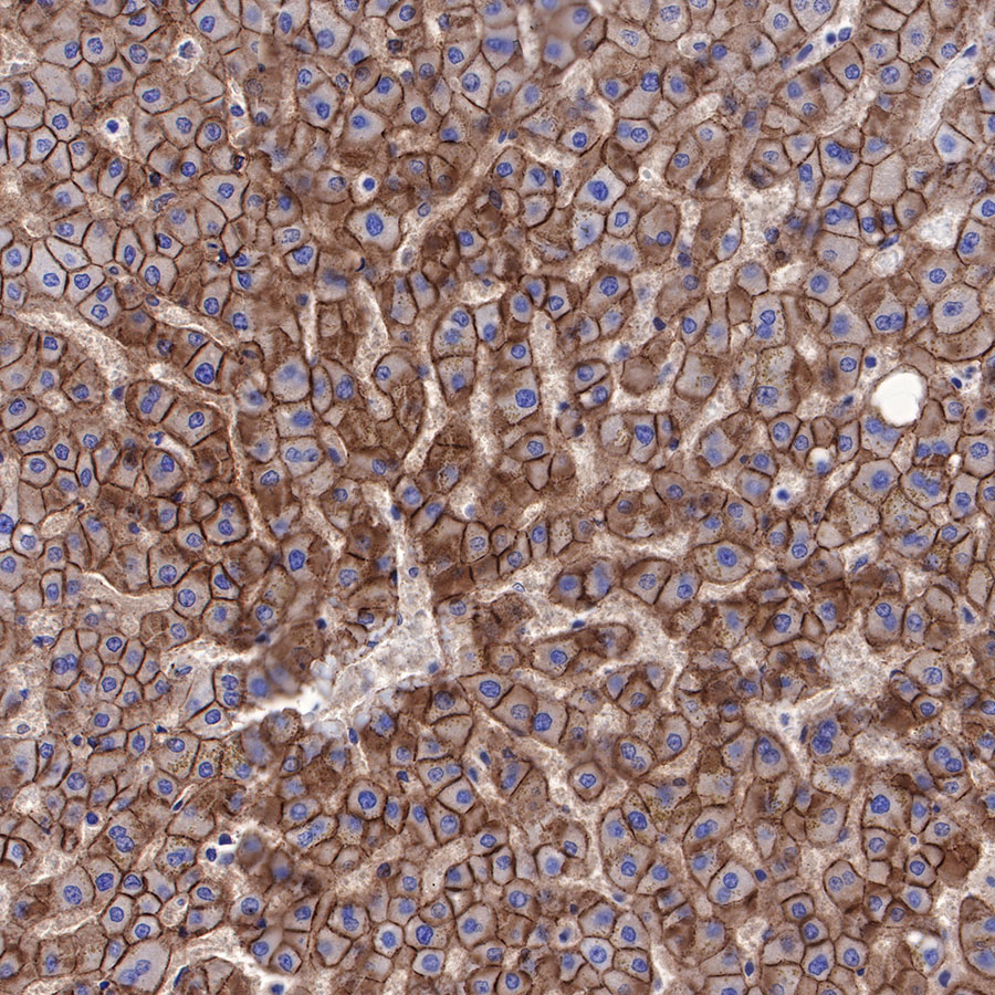
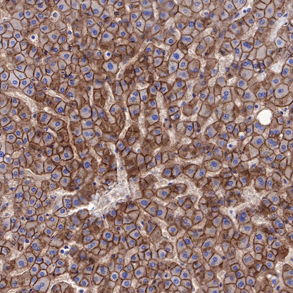
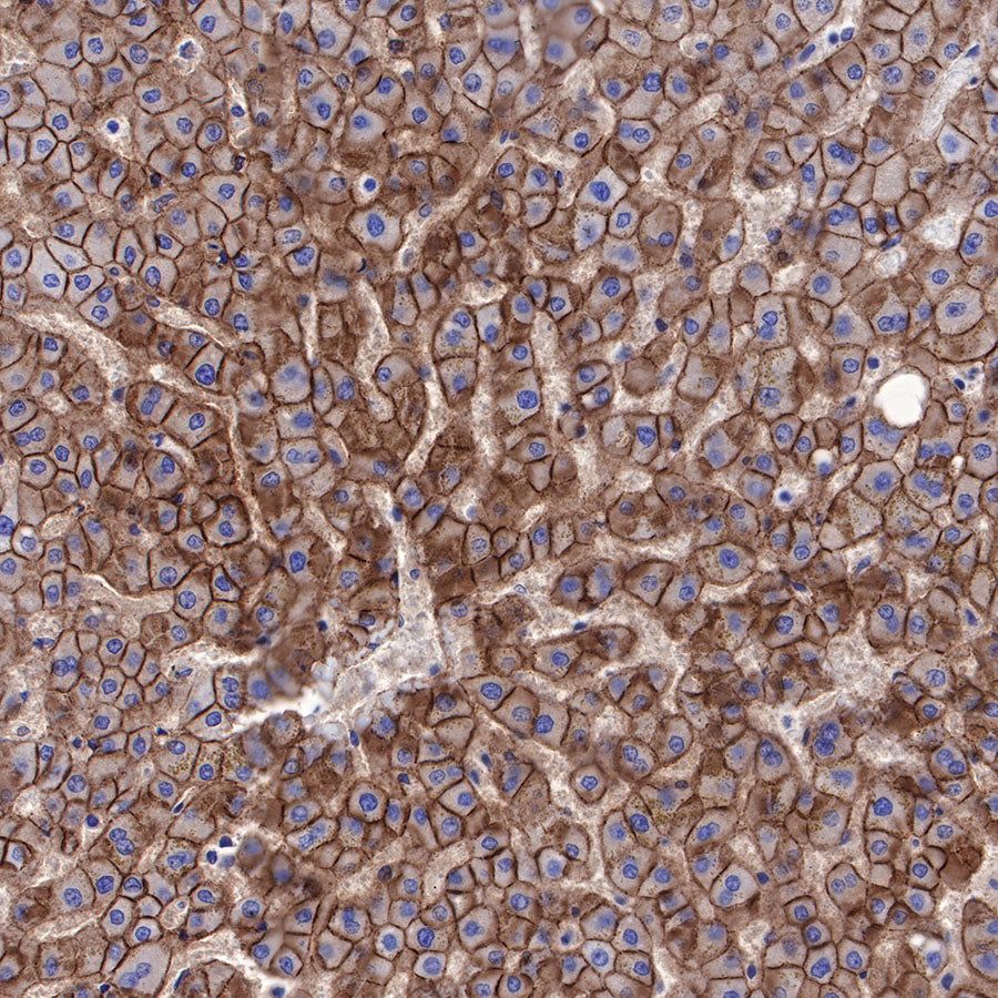
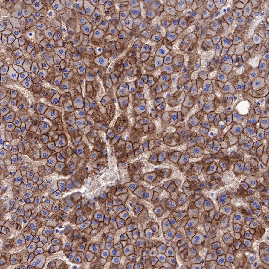
IHC shows positive staining in paraffin-embedded human liver. Anti-N-Cadherin antibody was used at 1/500 dilution, followed by a HRP Polymer for Mouse & Rabbit IgG (ready to use). Counterstained with hematoxylin. Heat mediated antigen retrieval with Tris/EDTA buffer pH9.0 was performed before commencing with IHC staining protocol.

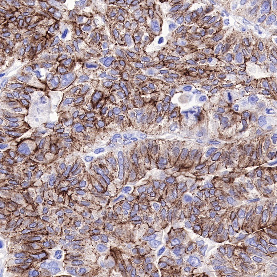
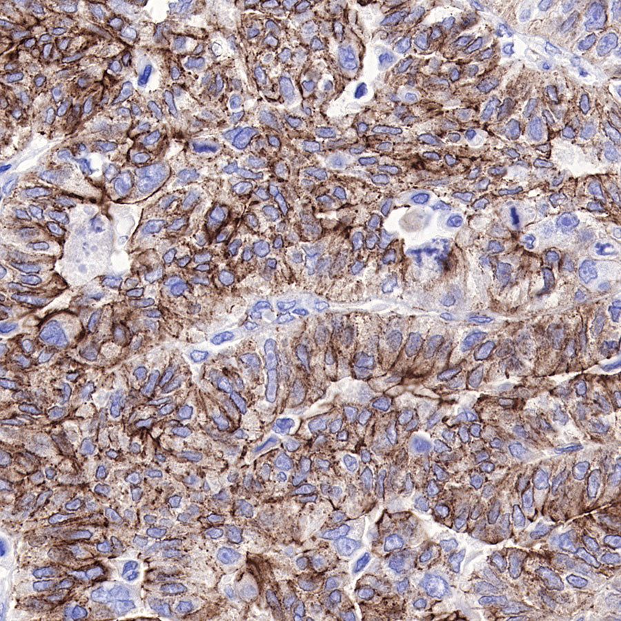
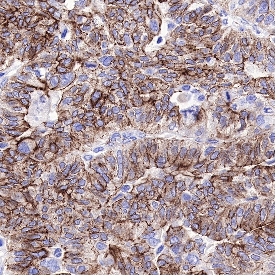
IHC shows positive staining in paraffin-embedded human ovarian carcinoma. Anti-N-Cadherin antibody was used at 1/500 dilution, followed by a HRP Polymer for Mouse & Rabbit IgG (ready to use). Counterstained with hematoxylin. Heat mediated antigen retrieval with Tris/EDTA buffer pH9.0 was performed before commencing with IHC staining protocol.

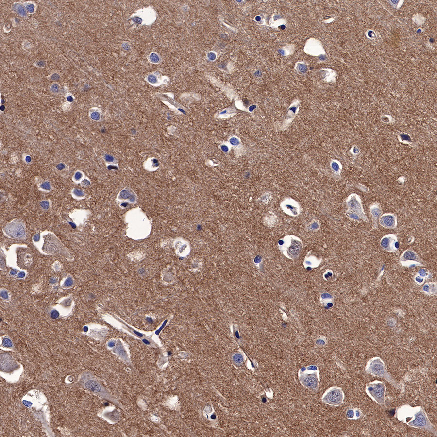
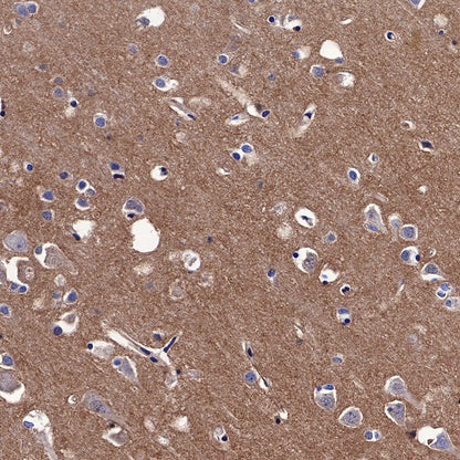
IHC shows positive staining in paraffin-embedded human cerebral cortex. Anti-N-Cadherin antibody was used at 1/500 dilution, followed by a HRP Polymer for Mouse & Rabbit IgG (ready to use). Counterstained with hematoxylin. Heat mediated antigen retrieval with Tris/EDTA buffer pH9.0 was performed before commencing with IHC staining protocol.

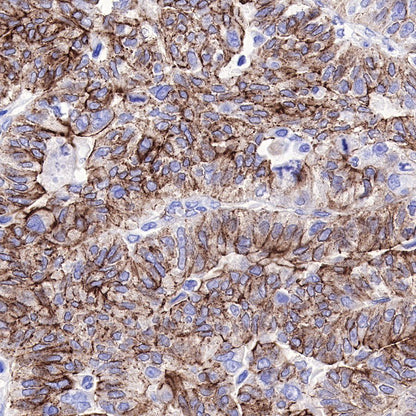
IHC shows positive staining in paraffin-embedded human renal clear cell carcinoma. Anti-N-Cadherin antibody was used at 1/500 dilution, followed by a HRP Polymer for Mouse & Rabbit IgG (ready to use). Counterstained with hematoxylin. Heat mediated antigen retrieval with Tris/EDTA buffer pH9.0 was performed before commencing with IHC staining protocol.

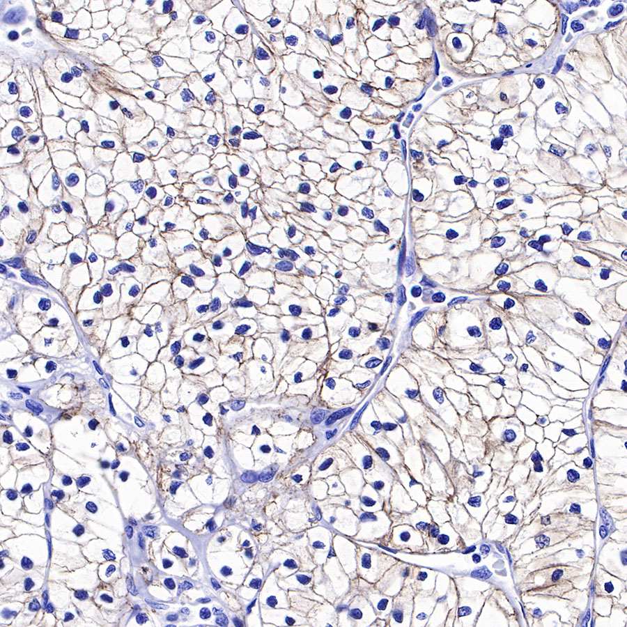
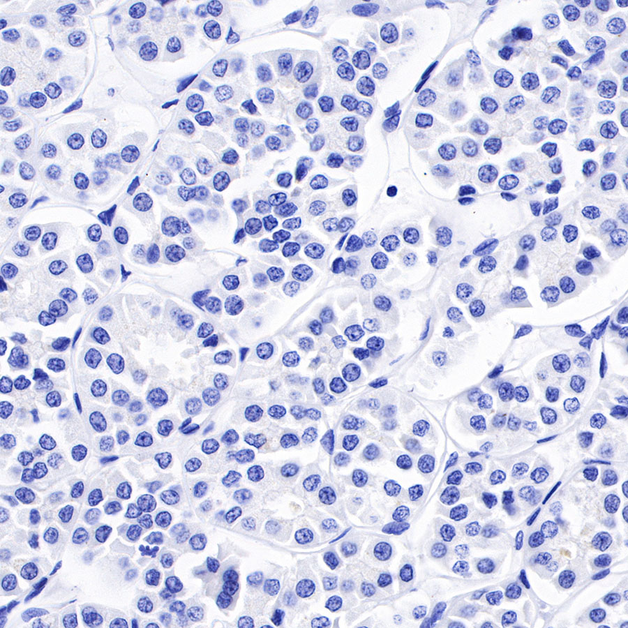
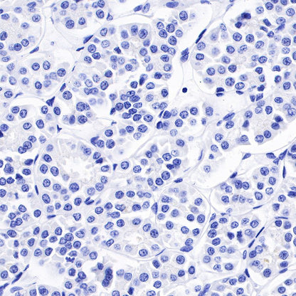
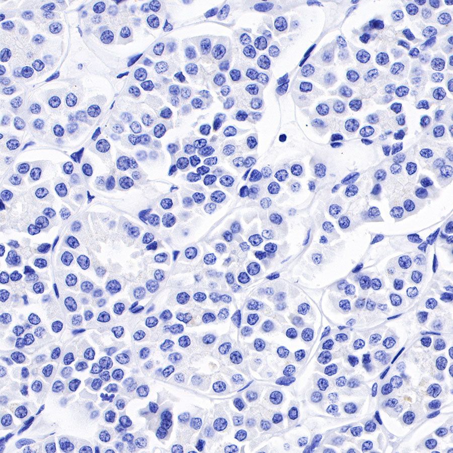
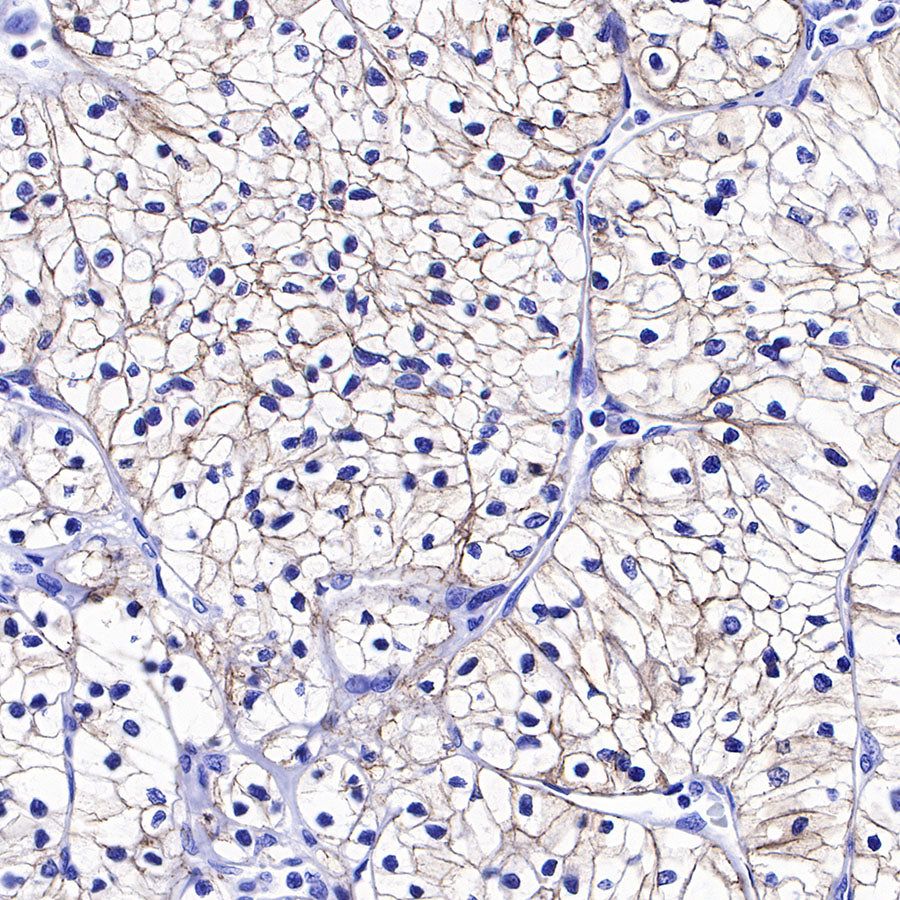
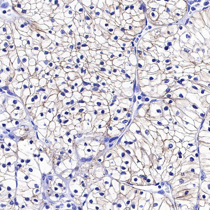
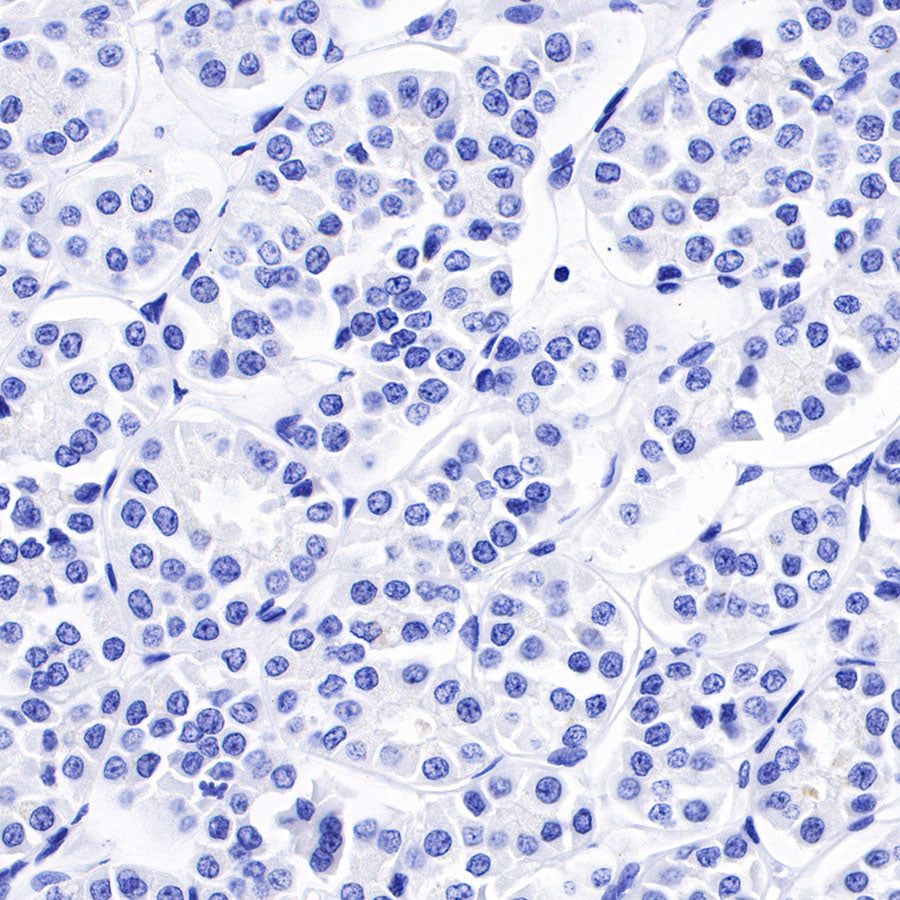
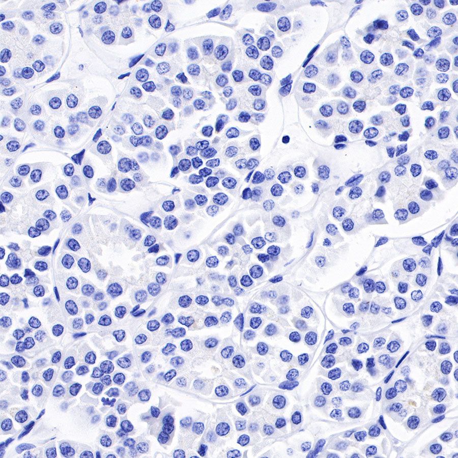
Negative tissue: IHC shows negative staining in paraffin-embedded human chromophobe renal carcinoma. Anti-N-Cadherin antibody was used at 1/500 dilution, followed by a HRP Polymer for Mouse & Rabbit IgG (ready to use). Counterstained with hematoxylin. Heat mediated antigen retrieval with Tris/EDTA buffer pH9.0 was performed before commencing with IHC staining protocol.

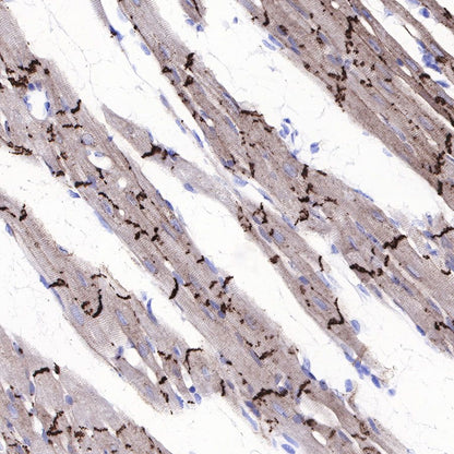
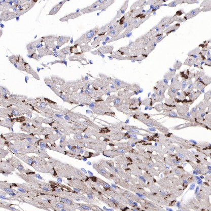
IHC shows positive staining in paraffin-embedded mouse cardiac muscle. Anti-N-Cadherin antibody was used at 1/500 dilution, followed by a HRP Polymer for Mouse & Rabbit IgG (ready to use). Counterstained with hematoxylin. Heat mediated antigen retrieval with Tris/EDTA buffer pH9.0 was performed before commencing with IHC staining protocol.

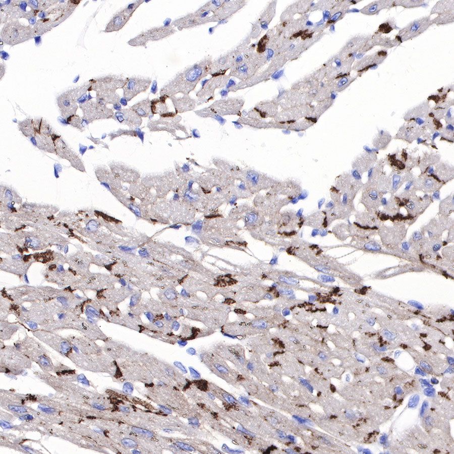
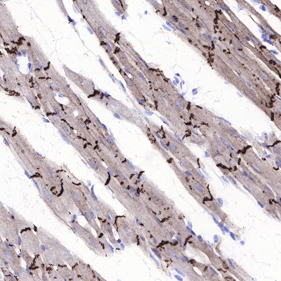
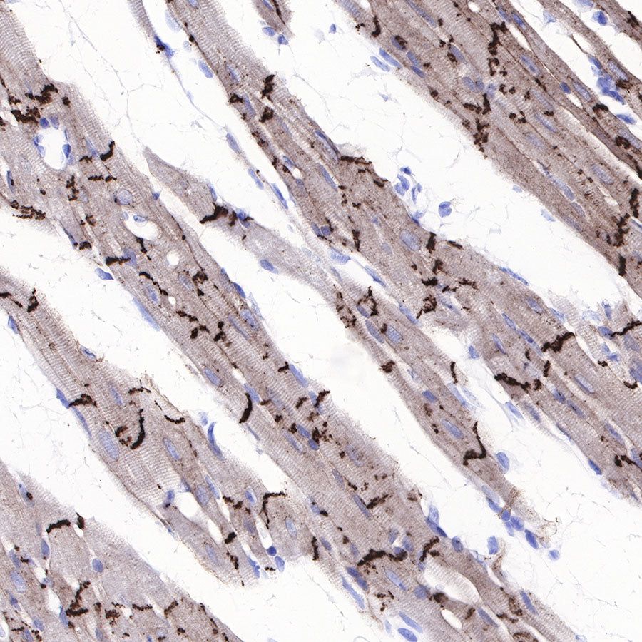
IHC shows positive staining in paraffin-embedded rat cardiac muscle. Anti-N-Cadherin antibody was used at 1/500 dilution, followed by a HRP Polymer for Mouse & Rabbit IgG (ready to use). Counterstained with hematoxylin. Heat mediated antigen retrieval with Tris/EDTA buffer pH9.0 was performed before commencing with IHC staining protocol.
