
Technical Articles
Recent Articles

Frontiers in Macrophage Research...

STARTER Pathological IHC Antibod...

Dual-Defect Nitrogen-Rich Carbon...

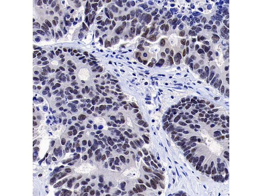
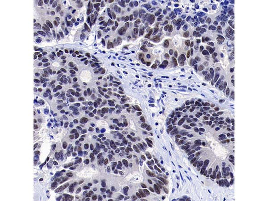
Tumor Pathology Targets: MLH1 and NaPi2b (SLC34A2) Analysis
Recent Advances MutL Homolog 1 Target MLH1 (MutL Homolog 1) protein is a DNA repair enzyme found in human cells and belongs to the MutL protein family. The MLH1 protein...
Tumor Pathology Targets: MLH1 and NaPi2b (SLC34A2) Analysis
Recent Advances MutL Homolog 1 Target MLH1 (MutL Homolog 1) protein is a DNA repair enzyme found in human cells and belongs to the MutL protein family. The MLH1 protein...
Read More
Optimizing GFP Protein Purification: STARTER Anti-GFP Nanobody Agarose Beads ...
Recent Advances Green Fluorescent Protein (GFP), originally isolated from the jellyfish Aequorea victoria, is a structurally unique protein exhibiting intrinsic autofluorescence properties. This 238-amino acid protein demonstrates the remarkable capability...
Optimizing GFP Protein Purification: STARTER Anti-GFP Nanobody Agarose Beads ...
Recent Advances Green Fluorescent Protein (GFP), originally isolated from the jellyfish Aequorea victoria, is a structurally unique protein exhibiting intrinsic autofluorescence properties. This 238-amino acid protein demonstrates the remarkable capability...
Read More
A Comprehensive Overview of the Major Categories of Cell Viability Assays
As the smallest autonomous structural and functional unit of living organisms, the cell remains the cornerstone of life-science research and occupies a central position in the quest to unravel the...
A Comprehensive Overview of the Major Categories of Cell Viability Assays
As the smallest autonomous structural and functional unit of living organisms, the cell remains the cornerstone of life-science research and occupies a central position in the quest to unravel the...
Read More
Diverse Tissue Processing Relies on Collagenase Treatment
Diverse Tissue Processing Relies on Collagenase Treatment Product Validation Data Collagenase Type II demonstrates broad tissue applicability with high post-digestion cell viability. Flow cytometry analysis of viability,...
Diverse Tissue Processing Relies on Collagenase Treatment
Diverse Tissue Processing Relies on Collagenase Treatment Product Validation Data Collagenase Type II demonstrates broad tissue applicability with high post-digestion cell viability. Flow cytometry analysis of viability,...
Read More
Antibody endocytosis efficiency test reagent
Recent Advances pH-sensitive IgG labeling reagents plus The fluorescent signal from GPRC5D ADC BMK-UA070080 conjugate is only detected in GPRC5D positive cells (K562-GPRC5D stable expression cell line),...
Antibody endocytosis efficiency test reagent
Recent Advances pH-sensitive IgG labeling reagents plus The fluorescent signal from GPRC5D ADC BMK-UA070080 conjugate is only detected in GPRC5D positive cells (K562-GPRC5D stable expression cell line),...
Read More
Antibody- cleaving enzyme products
Recent Advances IdeS: IdeS is a highly specific IgG degrading enzyme that can specifically recognize IgG and perform enzymatic cleavage at a single amino acid site below the lower hinge...
Antibody- cleaving enzyme products
Recent Advances IdeS: IdeS is a highly specific IgG degrading enzyme that can specifically recognize IgG and perform enzymatic cleavage at a single amino acid site below the lower hinge...
Read More