S100 Antibodies: The Cornerstone of Tumor Pathology Diagnosis with ANT BIO PTE. LTD.
Tumor pathology diagnosis relies heavily on precise molecular markers to identify tissue origin, distinguish tumor types, and assess malignancy—critical steps for guiding treatment decisions and improving patient outcomes. S100 proteins, a family of calcium-binding proteins first discovered in the central nervous system, have emerged as indispensable biomarkers in this field. Their tissue-specific expression patterns and close association with tumor progression make them ideal targets for pathological detection. S100 antibodies, as specific probes for these proteins, play a pivotal role in diagnosing neuroglial tumors, melanoma, neurogenic tumors, and beyond. ANT BIO PTE. LTD., a global leader in life science reagents, offers high-performance S100 antibodies under its Starter sub-brand—engineered for exceptional specificity, sensitivity, and staining consistency. These antibodies empower pathologists and researchers to achieve accurate tumor diagnosis, conduct in-depth metastasis mechanism studies, and advance precision oncology. This article explores the molecular characteristics of S100 proteins, the clinical value of S100 antibodies in tumor diagnosis, their diverse applications, and the outstanding performance of ANT BIO PTE. LTD.’s S100 antibody products.
What Are S100 Proteins? Core Concept and Research Significance
S100 proteins are a family of small, calcium-binding proteins characterized by a conserved EF-hand calcium-binding domain. Structurally, they consist of α and β subunits, which form three distinct dimer configurations: S100ao (αα), S100a (αβ), and S100b (ββ). Similar to calmodulin, S100 proteins regulate intracellular calcium ion concentrations to modulate a range of critical cellular functions.
The research and clinical significance of S100 proteins stems from their tissue-specific expression and functional versatility:
- Tissue distribution: Widely expressed in mesenchymal and lymphohematopoietic tissues, including glial cells, Schwann cells, melanocytes, chondrocytes, and dendritic cells. This specific expression pattern makes S100 proteins reliable molecular markers for identifying these cell types and their derived tumors.
- Biological functions: Under normal physiological conditions, S100 proteins regulate cell proliferation, differentiation, energy metabolism, and cytoskeletal dynamics—processes that are dysregulated in tumorigenesis.
- Tumor association: Abnormal S100 expression is closely linked to tumor grade, invasion, and metastasis, making S100 antibodies valuable tools for tumor diagnosis, grading, and prognosis assessment.
In tumor pathology, S100 antibodies serve as the bridge between protein expression and clinical decision-making, enabling precise identification of tumor origin and malignancy.
Research Frontiers: S100 Antibodies in Precision Oncology
S100 antibody research is evolving in tandem with advancements in precision medicine, with key frontiers focusing on:
- Multi-marker integration: Combining S100 antibodies with other neural, epithelial, or immune markers to improve the accuracy of differential diagnosis, especially for rare or poorly differentiated tumors.
- Single-cell and spatial analysis: Leveraging single-cell technology and multiplex fluorescence staining to explore S100 expression at the single-cell level, revealing tumor heterogeneity and immune cell interactions in the tumor microenvironment.
- Liquid biopsy applications: Exploring S100 antibodies for detecting circulating tumor cells (CTCs) or S100 protein in blood samples, enabling non-invasive early tumor diagnosis and treatment response monitoring.
- Prognostic and predictive biomarkers: Validating S100 expression levels as prognostic indicators for various tumors, guiding personalized treatment strategies.
ANT BIO PTE. LTD.’s S100 antibodies are designed to support these cutting-edge research areas, combining high specificity and staining consistency to deliver reliable results for both clinical diagnosis and basic research.
Clinical Applications of S100 Antibodies in Tumor Pathology
S100 antibodies have diverse and critical applications in diagnosing a range of tumors, leveraging their tissue-specific expression and association with malignancy.
1. Diagnosis and Grading of Neuroglial Tumors
Gliomas, the most common intracranial malignant tumors (accounting for 40–50% of all intracranial tumors), are graded I–IV by the WHO (Grades I–II as low-grade, Grades III–IV as high-grade). S100 protein expression correlates strongly with tumor grade:
- Low-grade gliomas exhibit fewer S100-positive cells and weaker staining intensity.
- High-grade gliomas show more abundant S100-positive cells and stronger staining signals.
This expression pattern not only aids in the accurate diagnosis and grading of gliomas but also provides critical insights into tumor malignancy and progression risk—supporting clinical treatment planning.
2. Diagnosis of Melanoma
S100 antibodies are invaluable for diagnosing melanoma, including primary and metastatic forms:
- Primary melanoma: In a study of 56 patients, S100 antibody detection showed strong positive expression in 26 samples, weak positive in 19, and negative in the remainder—providing a powerful tool for distinguishing melanoma from other skin tumors.
- Metastatic melanoma: S100 expression intensity varies among different metastatic foci, reflecting tumor heterogeneity and biological behavior. This makes S100 antibodies critical for identifying metastatic melanoma and determining the primary tumor origin—especially in cases of unknown primary tumors.
3. Research on Dendritic Cells in the Tumor Microenvironment
Dendritic cells (DCs), the most potent antigen-presenting cells, play a key role in anti-tumor immune responses. S100 protein is a specific marker for DCs, enabling researchers to study their distribution and function in tumors:
- In laryngeal cancer research, S100 antibody IHC staining revealed that S100-positive DCs are primarily distributed in the tumor stroma and among suprabasal keratinocytes.
- This distribution suggests DCs may uptake and present tumor antigens through direct contact with tumor cells, activating specific immune responses. S100 antibodies thus provide an essential tool for exploring immune cell-tumor cell interactions in the tumor microenvironment.
4. Diagnosis of Neurogenic Tumors
S100 antibodies are irreplaceable for diagnosing and differentiating neurogenic tumors (e.g., schwannomas, neurofibromas):
- These tumors typically exhibit strong S100 protein expression, distinguishing them from other mesenchymal tumors.
- In complex cases (e.g., metastatic tumors of unknown origin), positive S100 staining suggests a neurogenic or melanocytic origin—providing decisive evidence for determining tissue origin and formulating treatment plans.
- S100 antibodies also help assess the proliferative activity and malignant transformation potential of neurogenic tumors.
5. Differential Diagnosis of Other Tumors
Beyond the above, S100 antibodies have broad applications in diagnosing other tumors:
- Pancreatic and biliary tract tumors: S100P (a member of the S100 family) serves as an important auxiliary marker for diagnosing pancreatic ductal adenocarcinoma and cholangiocarcinoma.
- Precancerous lesions: Studying S100P expression in precancerous lesions (e.g., pancreatic intraepithelial neoplasia) helps elucidate its role in tumorigenesis.
- Rare tumors: Assisting in the differential diagnosis of ovarian cancer, gastric cancer, lung cancer, and other rare tumors—filling gaps in pathological diagnosis.
Core Advantages of ANT BIO PTE. LTD.’s S100 Antibodies
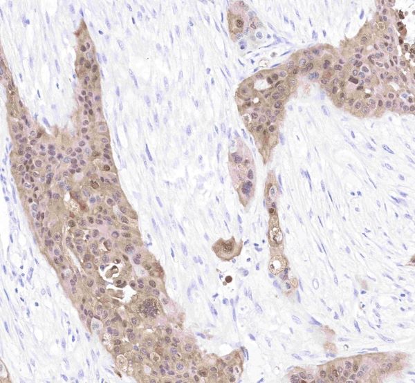
ANT BIO PTE. LTD.’s flagship S100 antibody—the S-RMab® S100P Recombinant Rabbit Monoclonal Antibody (Catalog No.: S0B2031)—and its PBS-only variant (Catalog No.: S0B2031P) are engineered using proprietary S-RMab® recombinant rabbit monoclonal antibody technology, delivering exceptional performance for clinical and research applications.
Key Product Advantages
- Ultra-High Specificity & Clear Staining Localization: Precisely recognizes the S100P protein, exhibiting strong cytoplasmic staining specificity in formalin-fixed paraffin-embedded (FFPE) samples. With a clean background and accurate antigen localization, it provides a reliable basis for pathological interpretation—avoiding false positives from cross-reactivity.
- Excellent Staining Stability & Batch Consistency: Manufactured under stringent quality control standards, the antibody exhibits minimal intra-batch and inter-batch variation. Consistent staining results ensure comparability across different experiments, laboratories, and clinical samples—critical for large-scale research projects and clinical diagnosis.
- Rigorous Multi-Platform Validation: Validated for immunohistochemistry (IHC), the gold-standard technique for clinical pathology, ensuring performance reliability in routine diagnostic workflows.
- Broad Application Compatibility: Suitable for FFPE samples from various tumors, supporting diverse clinical and research scenarios—from routine diagnosis to metastasis mechanism studies.
Key Application Scenarios
ANT BIO PTE. LTD.’s S100 antibodies are ideal tools for pathologists, researchers, and biopharmaceutical developers:
- Clinical Tumor Diagnosis: Auxiliary diagnosis and differential diagnosis of pancreatic cancer, biliary tract tumors, melanoma, gliomas, neurogenic tumors, and other malignancies.
- Tumor Prognosis & Metastasis Research: Assessing the correlation between S100P expression and tumor invasion, metastasis, and patient prognosis—providing references for clinical outcome prediction.
- Precancerous Lesion Research: Studying S100P expression in precancerous lesions to explore its role in tumor initiation and progression.
- Basic Research on Tumor Biology: Investigating the molecular mechanisms of S100 proteins in tumorigenesis, immune regulation, and metastasis.
Professional Technical Support
ANT BIO PTE. LTD. provides comprehensive technical support for all S100 antibody products, including:
- Detailed technical documentation, including complete IHC experimental protocols, optimized antigen retrieval methods, and clear result interpretation standards.
- Professional guidance for troubleshooting staining issues (e.g., high background, weak signal) to ensure optimal performance.
- One-on-one consultation with pathology and antibody technology experts to address clinical and research challenges.
Related S100 Antibody Products from ANT BIO PTE. LTD.
|
Catalog Number |
Product Name |
Key Specifications |
Stock Status |
Price (USD) |
|
S0B2031P |
S-RMab® S100P Recombinant Rabbit mAb, PBS Only (SDT-070-44) |
Host: Rabbit; Conjugation: Unconjugated; S100P-specific |
- |
Inquiry |
|
S-RMab® S100P Recombinant Rabbit mAb (SDT-070-44) |
Host: Rabbit; Conjugation: Unconjugated; S100P-specific |
- |
Inquiry |
ANT BIO PTE. LTD. – Empowering Scientific Breakthroughs
At ANTBIO, we are committed to advancing life science research through high-quality, reliable reagents and comprehensive solutions. Our specialized sub-brands (Absin, Starter, UA) cover a full spectrum of research needs, from general reagents and kits to antibodies and recombinant proteins. With a focus on innovation, quality, and customer-centricity, we strive to be your trusted partner in unlocking scientific mysteries and driving medical progress. Explore our product portfolio today and elevate your research to new heights.
Disclaimer
This article was partially created with the assistance of artificial intelligence. If any content involves copyright or intellectual property issues, please inform us, and we promise to verify and remove it immediately.
